Munir Elias 20-12-2013

Most of the site will reflect the ongoing surgical activity of Prof. Munir Elias MD., PhD. with brief slides and weekly activity. For reference to the academic and theoretical part, you are welcome to visit  neurosurgery.tv

Functional Neurosurgery
functionalneuro.surgery
Functionalneurosurgery.net

IOM Sites
iomonitoring.org
operativemonitoring.com

Neurosurgical Sites
neurosurgery.art
neurosurgery.me
neurosurgery.mx
skullbase.surgery

Neurosurgical Encyclopedia
neurosurgicalencyclopedia.org

Neurooncological Sites
acousticschwannoma.com
craniopharyngiomas.com
ependymomas.com
gliomas.info
gliomas.uk
meningiomas.org
neurooncology.me
pinealomas.com
pituitaryadenomas.com 

Neuroanatomical Sites
humanneuroanatomy.com 
microneuroanatomy.com

Neuroanesthesia Sites
neuro-anesthessia.org

Neurobiological Sites
humanneurobiology.com

Neurohistopathological
neurorhistopathology.com

Neuro ICU Site
neuroicu.info

Neuroophthalmological
neuroophthalmology.org

Neurophysiological Sites
humanneurophysiology.com

Neuroradiological Sites
neuroradiology.today

NeuroSience Sites
neuro.science

Neurovascular Sites
vascularneurosurgery.com

Personal Sites
cns.clinic

Spine Surgery Sites
spine.surgery
spondylolisthesis.info
paraplegia.today

Stem Cell Therapy Site
neurostemcell.com


 

Inomed Stockert Neuro N50. A versatile
RF lesion generator and stimulator for
countless applications and many uses


 

Multigen RF lesion generator .

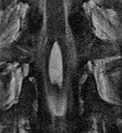
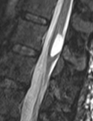
25-NOVEMBER-2014  ALAA ABDEL-SATTAR HAMDI   51 YEARS  CYSTIC  INTRAMEDULLARY LESION OF THE CONUS MEDULLARIS BEHIND L1.

 

Anamnesis

bullet

The patient came to the clinic 22-November-2014 complaining of LBP for 50 days without sciatica. Difficult walking that she cannot walk more than 300 meters, after what getting left hip pain. The condition of the patient is deteriorating.

bullet

On examination, the patient is limping with exaggerated scoliotic stance. SLRS 70 degrees both sides with weak both lower limbs 4/5 both sides.

bullet

The patient was sent for MRI of the dorsal and lumbar spine with contrast and single voxel spectroscopy. There is a cystic intramedullary lesion inside the conus medullaris and it is stuck to the posterior wall of the dura. The content of the cyst is CSF like consistency and spectroscopy ruled out malignant changes of the lesion.

bullet

Using the C-arm, laminectomy of L1 was performed. The dura was opened longitudinally, trying during that to preserve the adherent to it the underlying arachnoid which was separated from the dura by sharp dissection. It was necessary to dissect the arachnoid circumferentially to remove the arachnoid cyst and part of it was sent for histologic verification and after its removal the spinal cord was hanging free. Using Inomed with DNS revealed no response even with 10 mA and it was assumed that the ISIS Inomed was troubleshooting. The dura was closed water-tightly and routine closure of the wound. Before weaning off the patient, she was sent for MRI investigation, which confirmed the still presenting intramedullary cyst. The wound was opened and a 3 mm incision over the nonfunctioning part of the spinal cord was performed. The fluid was sent for histologic verification and the spinal cord collapsed completely and running nearby roots were seen. The roots were responding well even with DNS below 2 mA both sides. Routine closure of the wound.

bullet

Smooth postoperative recovery. The power of both lower limbs normalized.

 

 

Comments  

bullet

When you have suspicion, always check. The no response of the spinal cord to DNS at the end of first stage of surgery led to perform intraoperative MRI which confirmed the still persisting intramedullary cyst. The pathologic non-functioning posterior spinal cord was opened to evacuate the cystic cavity, after what the functioning neural tissues came to the field.

bullet

It is rare to see syringomeyletic cavity at the conus medullaris level. This was mostly triggered by the presenting arachnoidal adhesions of this area to the dural wall.

bullet

Even with the best MRI available technology, a misleading data can lead the neurosurgeon to wrong conclusions. All the time check when you suspect.

 

Skyra MRI with all clinical applications in the run since 28-Novemeber-2013.

Leica HM500

Leica HM500
The World's first and the only Headmounted Microscope.
Freedom combined with Outstanding Vision, but very bad video recording and documentation.

TRUMPF TruSystem 7500

After long years TRUMPF TruSystem 7500 is running with in the neurosuite at Shmaisani hospital starting from 23-March-2014


Inomed MER system


Axial T1 weighted MRI showing the cystic lesion adherent to the dura.


Coronal T2 weighted MRI showing the cystic lesion inside the conus medullaris.


Sagittal T2 weighted MRI showing the lesion.


Single voxel spectroscopy ruling out any malignant nature of the lesion.

Back Up!

Notice: Not all operative activities can be recorded due to lack of time.
Notice: Head injuries and very urgent surgeries are also escaped from the plan .

WELCOME TO AL-SHMAISANI HOSPITAL

 


View Larger Map
 

© [2014] [CNS CLINIC - NEUROSURGERY - JORDAN]. All rights reserved