Functional Neurosurgery
functionalneuro.surgery
Functionalneurosurgery.net

IOM Sites
iomonitoring.org
operativemonitoring.com

Neurosurgical Sites
neurosurgery.art
neurosurgery.me
neurosurgery.mx
skullbase.surgery

Neurosurgical Encyclopedia
neurosurgicalencyclopedia.org

Neurooncological Sites
acousticschwannoma.com
craniopharyngiomas.com
ependymomas.com
gliomas.info
gliomas.uk
meningiomas.org
neurooncology.me
pinealomas.com
pituitaryadenomas.com 

Neuroanatomical Sites
humanneuroanatomy.com 
microneuroanatomy.com

Neuroanesthesia Sites
neuro-anesthessia.org

Neurobiological Sites
humanneurobiology.com

Neurohistopathological
neurorhistopathology.com

Neuro ICU Site
neuroicu.info

Neuroophthalmological
neuroophthalmology.org

Neurophysiological Sites
humanneurophysiology.com

Neuroradiological Sites
neuroradiology.today

NeuroSience Sites
neuro.science

Neurovascular Sites
vascularneurosurgery.com

Personal Sites
cns.clinic

Spine Surgery Sites
spine.surgery
spondylolisthesis.info
paraplegia.today

Stem Cell Therapy Site
neurostemcell.com


 

Inomed Stockert Neuro N50. A versatile
RF lesion generator and stimulator for
countless applications and many uses


 

Multigen RF lesion generator .

03-DECEMBER-2019  AMAL MIDHAT ABDEL-QADER  64 YEARS  HUGE MID THIRD MENINGIOMA WITH EXTENSION TO BOTH PARIETAL CONVEXITIES MORE TO LEFT AND INVOLVEMENT OF THE FALX CEREBRI AND INSIDE THE SSS.

 
 

Anamnesis

bullet

The patient came to the clinic 09-November-2019 complaining inability to walk the last 3 months with epi attacks. MRI of the brain bad quality, not complete study performed 27-September-2019 showing lesion left parieto-frontal and less in the right.

bullet

On examination: there is weak grip right hand 4/5, extensors right hand and right biceps 3/5. Weak dorsi and planterflexion right foot 3/5, abduction right knee 4/5, right quadriceps femoris and right iliopsoas muscles 2/5.

bullet

The patient was sent for investigations  with complete protocol of MRI with clinical applications, including fMRI, which were done 12-November-2019 showing huge meningioma occupying both parietal areas more the left with involvement of the falx cerebri  and tumor was extending inside the mid third of the SSS with draining veins anterior and posterior to the involved SSS. The motor area was located posterior to the lesion. The patient was sent for cardio evaluation.

bullet

In semi-setting position with vertex is at its superior position, trying to decrease the pressure of the SSS, extended wide craniotomy of both fronto-parietal area with reflexion of the flap to the left, trying during that the avoid traction injury to the SSS. The tumorous bone flap sent for sterilization to kill the inside growing tumor. The dura was opened lateral to the left meningioma margin and followed to the edge of the SS anterior and posterior. The tumor was rubbery in consistency and highly vascular. Using SONOCA 300 with different handles the tumor was resected step-wise. Part of it was sent for histologic investigations. The resection was carried down until the falx cerebri was seen. Opening the right side confirmed that there is no apparent tumor and the presence of huge draining veins and Pacchoinian granulation, restricted the full exposure of the area to explore the other side of the right wall of the SSS, which in fact was full of tumor. The dura in the right side was closed and the patient was sent for intraoperative MRI investigation with contrast and MRV. The defect of the SSS still the same and the tumor is inside and around the SSS. After consulting all the team members, it was decided to satisfy this degree of resection and to be followed by radiation 8-10 months after surgery. The sterilized bone was returned back.  Routine closure of the wound.

bullet

Smooth postoperative recovery with right severe spastic paraparesis. She was sent to the ICU.

Follow Up

bullet

The patient 4 hours after surgery in the ICU is alert responding to verbal stimuli talking and the paresis regressed dramatically.

bullet

The final histologic result was that of meningioma, transitional type (mixed meningothelial and fibrous); WHO Grade I. (Prof. Yahia F. Dajani 07-12-2019).

bullet

The patient came three times to the clinic with dramatic improvement of her neurologic status to evacuate fluid collection over the bone flap.

Comments  

bullet

This case is challenging with its involvement of the SSS. Without violating it the patient progressed immediate postoperative deep right sided spastic paraparesis.

bullet

What if the SSS was violated? Death could be one of the options which is not desirable in account. 

 

 

 

 

 

 

 

 

 

 

Skyra MRI with all clinical applications in the run since 28-Novemeber-2013.


Inomed Riechert-Mundinger System, with three point fixation is the most accurate system in the market. The microdrive and its sensor gives feed back about the localization.


Inomed MER system

Leica HM500

Leica HM500
The World's first and the only Head mounted Microscope.
Freedom combined with Outstanding Vision, but very bad video recording and documentation.

TRUMPF TruSystem 7500

After long years TRUMPF TruSystem 7500 is running with in the neurosuite at Shmaisani hospital starting from 23-March-2014

 



SONOCA 300


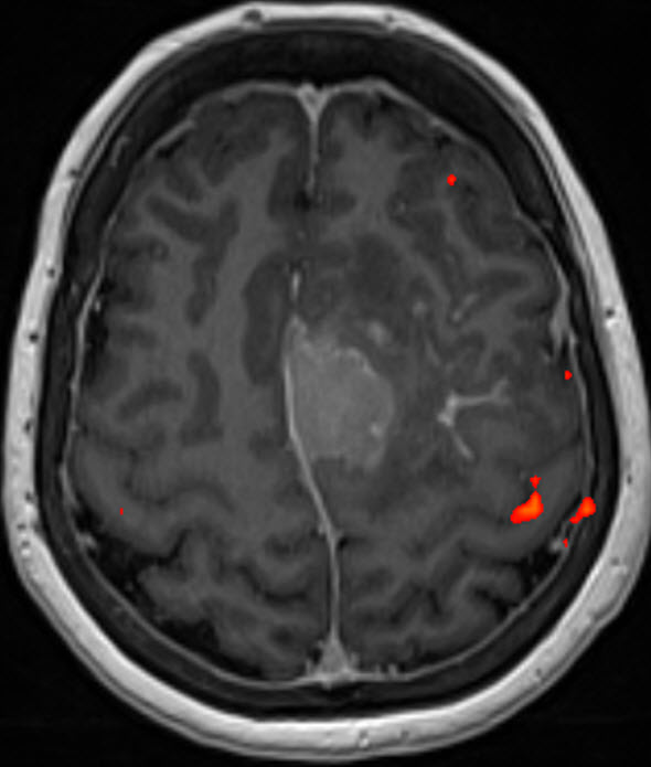
Fig-1: fMRI of the right hand tapping.

 

Back Up!

Notice: Not all operative activities can be recorded due to lack of time.
Notice: Head injuries and very urgent surgeries are also escaped from the plan .

  

 

 

 

 

 

 

 

 

 

 

 

 

WELCOME TO AL-SHMAISANI HOSPITAL

 


View Larger Map
 

© [2019] [CNS CLINIC - NEUROSURGERY - JORDAN]. All rights reserved