Munir Elias 20-12-2013

Dr. Fuad Al-Masri Syrian neurosurgeon.

Most of the site will reflect the ongoing surgical activity of Prof. Munir Elias MD., PhD. with brief slides and weekly activity. For reference to the academic and theoretical part, you are welcome to visit  neurosurgery.tv

Functional Neurosurgery
Functionalneurosurgery.net

IOM Sites
iomonitoring.org
operativemonitoring.com

Neurosurgical Sites

cns-online.com
neurosurgery.ag  neuro.science
neurosurgery.art
neurosurgery.tv
neurosurgery.me 
neurosurgery.mx
neurosurgery.tv
neurosurgery.tw
 
meningiomas.org

Neurosurgical Encyclopedia Sites
neurosurgicalencyclopedia.com neurosurgicalencyclopedia.net
neurosurgicalencyclopedia.org

Neurooncological Sites
acousticschwannoma.com
craniopharyngiomas.com
craniopharyngiomas.net
ependymomas.com
ependymomas.net
meningiomas.org 
glioma.ws
meningiomas.info
meningiomas.org
neurooncology.tv
neurooncology.ws
onconeurosurgery.com
pinealomas.com 
pituitaryadenomas.com
pituitaryadenoma.net
theneuro-oncology.com 

Neuroanatomical Sites
diencephalon.info
humanneuroanatomy.com
medullaoblongata.info
mesencephalon.org
microneuroanatomy.com

Neuroanesthesia Sites
neuroanesthesia.info

Neurobiological Sites
humanneurobiology.com

Neurohistopathological Sites
neurorhistopathology.com

Neuro ICU Site
neuroicu.info

Neuroophthalmological Site
neuroophthalmology.org

Neurophysiological Sites
humanneurophysiology.com
neurophysiology.ws

Neuroradiological Sites
neuroradiology.ws

Neurovascular Sites
vascularneurosurgery.com
vascularneurosurgery.net

Personal Sites
cns-clinic.net
neurosurgery.art
neuro.science
shmaisanihospital.com
shmaisani-hospital.com

Spine Surgery Sites
spinesurgeries.org
spondylolisthesis.info
spine.surgery

Stem Cell Therapy Site
neurostemcell.com

 

Anamnesis

bullet

The patient came to the hospital with history of longstanding ataxia, headache with decreased hearing left ear and left ophthalmalgia and blurring vision left eye. Neurologically the patient was intact. except for nystagmus and decreased hearing left ear and mild facial paresis left side.

bullet

The patient performed MRI, which showed massive left posterior fossa mass, resembling meningioma. Considering its giant dimensions with extension down to the caudal group of nerves left side, it was difficult to establish the histologic diagnosis. But the patient claim, that she has remnant hearing with this giant mass and the absence of intracanalicular growth of the mass, made the diagnosis more favorable to meningioma.

bullet

In the setting position with head tilted to look to the left with moderated extension, a wide osteoplastic craniotomy was performed over the left cerebellar hemisphere, exposing during that the left transverse sinus and the sigmoid sinus. The tumor was attacked subtentorially. The matrix of the meningioma could be seen starting from the level of the left petrosal vein.
Intracapsular resection started and piecemeal resection followed with coagulation of the matrix of the tumor which was reaching the tentorial edge. After debulking of the tumor without applying any traction, with preservation of the Dandy vein to control the level traction of the left cerebellum by gravity. The tumor was stuck to the vestibular nerve, but by sharp dissection it was anatomically preserved to the end of the operation. The major portion of the tumor attached to left SCA was removed, except a tiny remnant engulfing it at the level of the tentorial edge , which was left intentionally to avoid catastrophic sequelae. The trochlear nerve was dissected and preserved.
The caudal part of the mass was dissected off the vertebral artery and one of branches of the accessory nerve. No attempt was made to violate the facial nerve, so as not to expose it to surgical trauma. It was hidden under the petrosal and the preserved vestibular nerve.
The matrix of the tumor was stony hard and it was decided to remove it. When this action was started, it became clear, that the bone is under the tentorium and it was removed by Smith-Kerrison rongeur. That part of the bone parallel to the superior petrosal sinus was left in place to avoid possible fracture of the bone with possible bleeding from the superior petrosal sinus, which could be uncontrollable to stop due bony involvement.
All the neural and vascular structures were preserved and routine closure of the wound. The bone reflected back to place and the patient was extubated immediately after the operation, which took 14 hours. The nystagmus increased after surgery and there was noticeable left facial paresis.

Follow Up

bullet

The next day 16-January-2006, the patient is fully conscious, ambulating with mild paresis of the left facial nerve with with preserved hearing and subsiding nystagmus. The left side of the face is numb with hypalgesia.
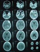
CT-scan done showing complete resection of the tumor with part of the hyperostosis left in place at the anterior third of the left pyramid.

bullet

The patient after several days had deepening of the facial paresis to paralysis and she was followed for this over a year without improvement for what she was operated later.

 

 

 

 

 

 

 

 

 

 

 

 

Comments

bullet

The patient has meningioma with involvement of most of nearby neural structures. Careful dissection can preserve their functional integrity.

bullet

Even with anatomical preservation of the facial nerve, it happens that it continue to function for several days, then the paresis gradually progress over several days to complete paralysis with inability to recover.

 

Leica HM500

Leica HM500
The World's first and the only Headmounted Microscope.
Freedom combined with Outstanding Vision.

Preoperative CT-scan showing the mass with hyperostosis of the left petrous anterior third and calcified tentorium with preoperative MRI  T1 W with contrast showing the tentorial edge meningioma. Immediate postoperative CT-scan demonstrating practical radical resection of the tumor

Back Up!

Notice: Not all operative activities can be recorded due to lack of time.
Notice: Head injuries and very urgent surgeries are also escaped from the plan .

 

  

 

 

 

 

 

 

 

 

 

 

 

 

WELCOME TO AL-SHMAISANI HOSPITAL

 


View Larger Map
 

© [2006] [CNS CLINIC - NEUROSURGERY - JORDAN]. All rights reserved