
Functional Neurosurgery
functionalneuro.surgery
Functionalneurosurgery.net
IOM Sites
intraoperativemri.com
operativemonitoring.com
Neurosurgical Sites
neurosurgery.art
neurosurgery.me
neurosurgery.mx
skullbase.surgery
Neurosurgical Encyclopedia
neurosurgicalencyclopedia.org
Neurooncological Sites
acousticschwannoma.com
craniopharyngiomas.com
ependymomas.com
gliomas.info
gliomas.uk
meningiomas.org
neurooncology.me
pinealomas.com
pituitaryadenomas.com
Neuroanatomical Sites
humanneuroanatomy.com
microneuroanatomy.com
Neuroanesthesia Sites
neuro-anesthessia.org
neuroaneathesia.org
Neurobiological Sites
humanneurobiology.com
Neurohistopathological
neurorhistopathology.com
Neuro ICU Site
neuroicu.info
Neuroophthalmological
neuroophthalmology.org
Neurophysiological Sites
humanneurophysiology.com
Neuroradiological Sites
neuroradiology.today
NeuroSience Sites
neuro.science
Neurovascular Sites
vascularneurosurgery.com
Personal Sites
cns.clinic
Spine Surgery Sites
spine.surgery
spondylolisthesis.net
paraplegia..info
Stem Cell Therapy Site
neurostemcell.com

Inomed Stockert Neuro N50. A versatile
RF lesion generator and stimulator for
countless applications and many uses

Multigen RF lesion generator .
|
 |
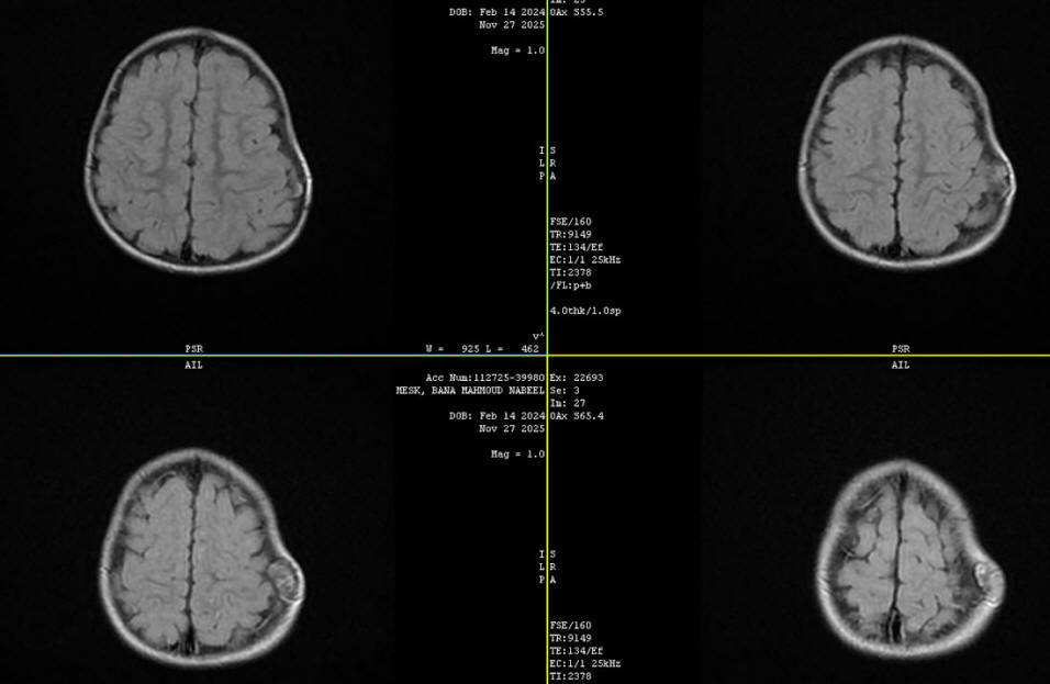
17-DECEMBER-2025 BANA MAHMOUD MISK
1.9 YEARS INTRAOSSAL LANGERHANS TUMOR IN THE LEFT PARIETO-OCCIPITAL
REGION.

|
|
Anamnesis
 |
The patient brought to the clinic
16-December-2025 with family, telling that a subgalial mass
is progressing in the left parieto-occipital
region. MRI done 27-November-2025 showing the
mass. |
 |
On examination, the patient is neurologically
free with center of the external mass broken.
|
 |
The patient was sent for investigations. Hb was
12.5 WBC 11.9 ESR 10 mm/h and CRP was 0.7. |
 |
Turning the patient to the
operating table was done so that the mass was
projecting to the upper field. Circumferential
incision was done and reflected to the left ear.
The mass was not covered with bone, but
originating from the bone, exposed and radically removed and
sent for histologic studies. The underlying dura
was intact. Using PALACOS R+G cement. the
bone defect was covered and the edges and
contours were polished with high speed drill.
Routine closure of the wound. She was sent to the ward.
|
FOLLOW UP
 |
Too early now. |
|
Comments
 |
The tumor was sent for histologic
studies. |
|
|
|
 Skyra MRI with all clinical applications in the run since 28-Novemeber-2013.

Inomed Riechert-Mundinger System, with three point
fixation is the most accurate system in the market. The microdrive and
its sensor gives feed back about the localization.

Inomed MER system

Leica HM500
The World's first and the only Head mounted Microscope.
Freedom combined with Outstanding Vision, but very bad video recording and
documentation.

After long years TRUMPF TruSystem 7500 is running with in the neurosuite at
Shmaisani hospital starting from 23-March-2014

LooksCam II Xenosys in the run starting from 14-March-2021 with
SheerVision TTL x4 magnification.

Cios-Spin flat panel in the run. |