Munir Elias 20-12-2013

Most of the site will reflect the ongoing surgical activity of Prof. Munir Elias MD., PhD. with brief slides and weekly activity. For reference to the academic and theoretical part, you are welcome to visit  neurosurgery.tv

Functional Neurosurgery
functionalneuro.surgery
Functionalneurosurgery.net

IOM Sites
iomonitoring.org
operativemonitoring.com

Neurosurgical Sites
neurosurgery.art
neurosurgery.me
neurosurgery.mx
skullbase.surgery

Neurosurgical Encyclopedia
neurosurgicalencyclopedia.org

Neurooncological Sites
acousticschwannoma.com
craniopharyngiomas.com
ependymomas.com
gliomas.info
gliomas.uk
meningiomas.org
neurooncology.me
pinealomas.com
pituitaryadenomas.com 

Neuroanatomical Sites
humanneuroanatomy.com 
microneuroanatomy.com

Neuroanesthesia Sites
neuro-anesthessia.org

Neurobiological Sites
humanneurobiology.com

Neurohistopathological
neurorhistopathology.com

Neuro ICU Site
neuroicu.info

Neuroophthalmological
neuroophthalmology.org

Neurophysiological Sites
humanneurophysiology.com

Neuroradiological Sites
neuroradiology.today

NeuroSience Sites
neuro.science

Neurovascular Sites
vascularneurosurgery.com

Personal Sites
cns.clinic

Spine Surgery Sites
spine.surgery
spondylolisthesis.info
paraplegia.today

Stem Cell Therapy Site
neurostemcell.com


 

Inomed Stockert Neuro N50. A versatile
RF lesion generator and stimulator for
countless applications and many uses


 

Multigen RF lesion generator .

21-AUGUST-2014  FATMEH SALEH AL-DROOBI  20 YEARS RECURRENCE OF HIGHLY MALIGNANT GLIOMA RIGHT CONVEXITY.

 

Anamnesis

bullet

The patient was operated by me 04-July-2013 for highly malignant glioma, followed by radiotherapy and chemotherapy. The patient then came 18-August-2014 complaining of headache the last 2 weeks with tinnitus right ear and numbness left upper and lower limbs coming as Jacksonian sensory marsh.

bullet

MRI brain done 07-July-2014 showing mass over the tentorium right side with cystic component reaching the right ICA bifurcation.

bullet

On examination; the patient is neurologically free.

bullet

The patient was sent for new MRI of the brain with contrast with MRA of the brain and spectoscopy, DTI and functional MRI and done the same day. The results of investigations shown in Fig. 1-6, listed below.

bullet

The incision was refreshed and extended more to the base and the old bone defect removed and further bone flap created to gain adequate access to the tentorial plain. The solid tumor attached to the tentorium in the right side was removed in piece-meal fashion. It was highly vascular with pathologic vascularity. Inomed ISIS was used to study the sensory motor area through the dura. The area is far from the operative activity site. The posterior parts of the temporal lobe were involved in the resection. The medial edge of the tentorium was seen and resection was limited so as not to violate the interpedincular cistern. After getting the impression that the tumor was totally resected, the patient was sent for MRI control. There are still 2 masses over the created cavity. Spectroscopy done to them. See fig-7. The choline level was low in the cavities, but the mass under then is an active tumor. Despite this fact, these 2 masses were removed. The medial part was abutting the right internal capsule. These cavities were containing yellowish fluid. Strict hemostasis and routine closure of the wound.

bullet

Smooth postoperative recovery. The patient extubated immediately and she is moving the left side of the body and responding well. There is left side hemiparesis, more the leg.

 

 

Comments  

bullet

The patient is young, underwent radiotherapy  and chemotherapy. In the last preoperative MRI with spectroscopy there is still places were active tumor recurrence aside with radionecrosis. It was decided to remove the active tumor parts with the radionecrosis to give the patient the maximum chance of survival.

bullet

The more radical the resection, the more favorable outcome, but this governed with possible complications, even of you use the most sophisticated technology.

Skyra MRI with all clinical applications in the run since 28-Novemeber-2013.

Leica HM500

Leica HM500
The World's first and the only Headmounted Microscope.
Freedom combined with Outstanding Vision, but very bad video recording and documentation.

TRUMPF TruSystem 7500

After long years TRUMPF TruSystem 7500 is running with in the neurosuite at Shmaisani hospital starting from 23-March-2014


Figure-1: Choline still high in some places confirming the recurrence of the tumor.


Figure-2: Short TE  showing also the presence of lipids 13 and 9.


Figure-3: Choline to NAA ratio distribution.


Figure-4: Fiber tracking showing missing fibers above the tentorium in the right side.


Figure-5: Functional MRI showing functioning left side of the body.


Figure-6: Sagittal plane showing the mass shifting the brain stem and other structures.


Figure-7: Intraoperative spectroscopy showing remnant of active lesion below the cystic lesions, which are abutting the internal capsule. During surgery we use saline and the air come to fill the cavities and an error message coming out during spectroscopy telling that fluid suppression is an adequate. Despite this fact it is possible to catch the active remnants and establish the fluid content of the cysts.


Axial TW2 done the second postoperative day.


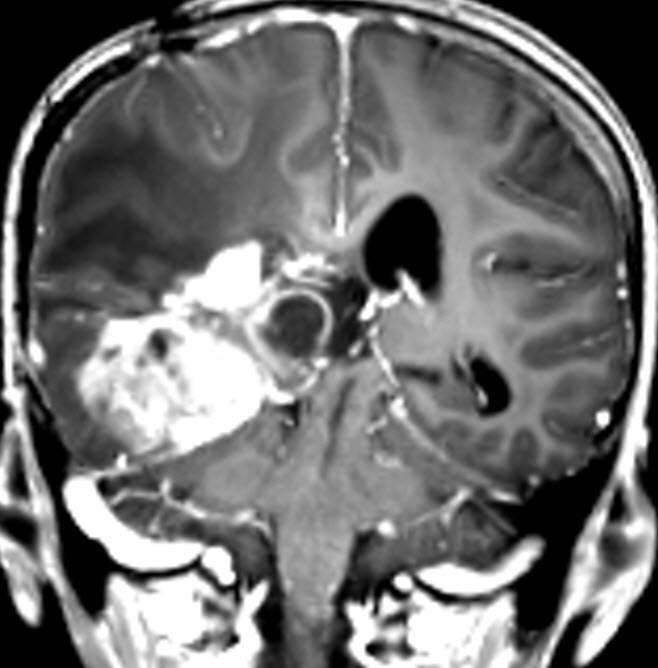
Coronal MRI done the next postoperative day. Notice how near the dissection to the right internal capsule.


Sagittal TW1  done the next postoperative day. Notice the radical resection, in comparison to the MRI done during surgery.


Spectroscopy done the next postoperative day, showing the absence of tumor and the chemical shift of the internal capsule, which was seen during surgery and it was respected. This is the first time in my life seeing the internal capsule during surgical dissection.

Back Up!

Notice: Not all operative activities can be recorded due to lack of time.
Notice: Head injuries and very urgent surgeries are also escaped from the plan .
WELCOME TO AL-SHMAISANI HOSPITAL

 


View Larger Map
 

© [2014] [CNS CLINIC - NEUROSURGERY - JORDAN]. All rights reserved