Munir Elias 20-12-2013

Most of the site will reflect the ongoing surgical activity of Prof. Munir Elias MD., PhD. with brief slides and weekly activity. For reference to the academic and theoretical part, you are welcome to visit  neurosurgery.tv

Functional Neurosurgery
functionalneuro.surgery
Functionalneurosurgery.net

IOM Sites
iomonitoring.org
operativemonitoring.com

Neurosurgical Sites
neurosurgery.art
neurosurgery.me
neurosurgery.mx
skullbase.surgery

Neurosurgical Encyclopedia
neurosurgicalencyclopedia.org

Neurooncological Sites
acousticschwannoma.com
craniopharyngiomas.com
ependymomas.com
gliomas.info
gliomas.uk
meningiomas.org
neurooncology.me
pinealomas.com
pituitaryadenomas.com 

Neuroanatomical Sites
humanneuroanatomy.com 
microneuroanatomy.com

Neuroanesthesia Sites
neuro-anesthessia.org

Neurobiological Sites
humanneurobiology.com

Neurohistopathological
neurorhistopathology.com

Neuro ICU Site
neuroicu.info

Neuroophthalmological
neuroophthalmology.org

Neurophysiological Sites
humanneurophysiology.com

Neuroradiological Sites
neuroradiology.today

NeuroSience Sites
neuro.science

Neurovascular Sites
vascularneurosurgery.com

Personal Sites
cns.clinic

Spine Surgery Sites
spine.surgery
spondylolisthesis.info
paraplegia.today

Stem Cell Therapy Site
neurostemcell.com


 

Inomed Stockert Neuro N50. A versatile
RF lesion generator and stimulator for
countless applications and many uses


 

Multigen RF lesion generator .

17-AUGUST-2014  FIRAS AZZAM AL-TMEZEH  29 YEARS  BILATERAL ACOUSTIC SCHWANNOMAS WITH PROGRESSING RIGHT SIDE.

 

Anamnesis

bullet

The patient came to the clinic 09-January-2010 complaining of V1 pain for one month and decreased hearing right ear for 2 years. MRI of the brain performed 05-January-2010 showed right acoustic schwannoma extending to the brain stem and left intracanalicular one. Audiometry done 07-January-2010 confirming practical hearing loss in the right side. Tegretol was started and the patient came 14-April-2010 telling that he was neuralgia free with medication and the pain resumed when he stopped it. The patient was advised to keep in medication and to be followed later. The patient came 19-July-2010 with MRI of the brain done 18-July-2010 showing the same tumors sizes and the neuralgia is not present. The patient came several times over the years and he was reluctant for surgery. The last time he came 07-August-2014 and sent for new MRI which was done the same day. There is enlargement of the right acoustic schwannoma, compressing the brainstem. The right mass 25x19x17 mm  and the left 20x10x9 mm.

bullet

On examination; the patient neurologically the same as before.

bullet

In setting position, midline incision with curve to the right. Osteoplastic craniotomy over the right cerebellar hemisphere, with bone defect abutting the transverse and right sigmoid sinus. The tumor was identified and using Inomed system the facial nerve was identified running anterior and superior to the tumor mass. The glossopharyngeal nerve was pushed downward. Piece meal resection of the tumor was carried out until the intracanalicular part was seen. The tumor mass was rubbery, highly vascular and adherent to all tissues in the surround, even with the facial nerve. The facial nerve was severely adherent to the intracanalicular part, for what a small residual was left to keep the function of the right facial nerve. Check of the function of the right facial nerve at the stage, which seemed to have practical radical removal of the tumor, showed good response of the nerve. The patient was sent to MRI, which showed a part of the tumor still hanging under the tentorium. The patient was put back to the setting position and the remnant of the tumor was removed in one piece. Strict hemostasis with application of surgicele. The wound was water-tightly closed and the patient was sent another time to the MRI. The mass is no longer seen, instead a small hematoma with acceptable brain stem was seen.

bullet

The patient was extubated immediately after surgery. Smooth postoperative recovery with deep paresis of the right facial nerve.

 

 

Comments  

bullet

The patient had the opportunity to have Inomed intraoperative control and MRI control during surgery. Despite the fact that the right facial nerve was responding well after completing manipulation around it, the patient showed deep paresis of the right facial nerve. Removal of the intracanalicular part will certainly completely destroy the anatomical structure of the facial nerve.

bullet

MRI help in identifying the missed part of the tumor, which was removed after the first performed MRI .

bullet

The second MRI after completion of surgery and before extubation was to see the condition of the brain stem, so as to plan what to do the next step: put the patient in ventilator or extubate him. Since the brainstem was in good shape the patient was immediately extubated Fig1-2.

bullet

This case demonstrate that MRI must be performed at regular basis after surgery to prevent escalating complications, which could evolve several hours after surgery Fig 3-4.

bullet

Even with the advanced technique, complications will remain, but the facial nerve recovery will be judged over the time.

Skyra MRI with all clinical applications in the run since 28-Novemeber-2013.

Leica HM500

Leica HM500
The World's first and the only Headmounted Microscope.
Freedom combined with Outstanding Vision, but very bad video recording and documentation.

TRUMPF TruSystem 7500

After long years TRUMPF TruSystem 7500 is running with in the neurosuite at Shmaisani hospital starting from 23-March-2014

 


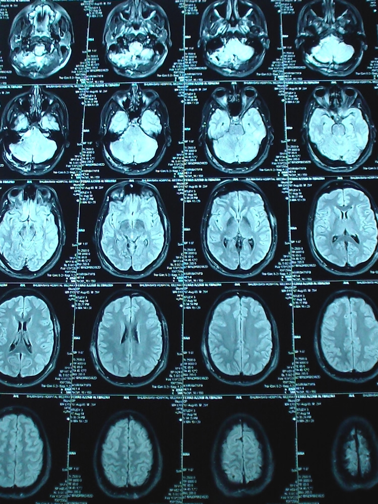
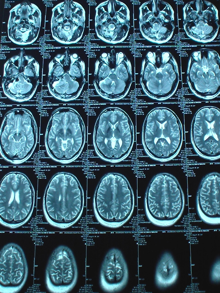
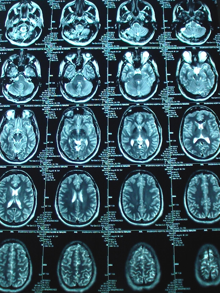
Figure-1: Axial TW2 done during surgery showing the removal of the residual mass which was stuck to the pontomedullary junction.


Figure-2: The intraoperative TW1 MRI showing the clearance of the right acoustic schwannoma without any edema or infarction at the resected last part f the tumor.


Figure-3: TW2 MRI done 2 days after surgery, demonstrating the progression of edema at the resected last piece of the tumor. which was severely adherent to the medullo-pontine angle.


Figure-4: Coronal TW2 done 2 days after surgery showing the edema, which evolved several hours after surgery.

Back Up!

Notice: Not all operative activities can be recorded due to lack of time.
Notice: Head injuries and very urgent surgeries are also escaped from the plan .

WELCOME TO AL-SHMAISANI HOSPITAL

 


View Larger Map
 

© [2014] [CNS CLINIC - NEUROSURGERY - JORDAN]. All rights reserved