Most of the site will reflect the ongoing surgical activity of Prof. Munir Elias MD., PhD. with brief slides and weekly activity.

Functional Neurosurgery
functionalneuro.surgery
Functionalneurosurgery.net

IOM Sites
iomonitoring.org
operativemonitoring.com

Neurosurgical Sites
neurosurgery.art
neurosurgery.me
neurosurgery.mx
skullbase.surgery

Neurosurgical Encyclopedia
neurosurgicalencyclopedia.org

Neurooncological Sites
acousticschwannoma.com
craniopharyngiomas.com
ependymomas.com
gliomas.info
gliomas.uk
meningiomas.org
neurooncology.me
pinealomas.com
pituitaryadenomas.com 

Neuroanatomical Sites
humanneuroanatomy.com 
microneuroanatomy.com

Neuroanesthesia Sites
neuro-anesthessia.org

Neurobiological Sites
humanneurobiology.com

Neurohistopathological
neurorhistopathology.com

Neuro ICU Site
neuroicu.info

Neuroophthalmological
neuroophthalmology.org

Neurophysiological Sites
humanneurophysiology.com

Neuroradiological Sites
neuroradiology.today

NeuroSience Sites
neuro.science

Neurovascular Sites
vascularneurosurgery.com

Personal Sites
cns.clinic

Spine Surgery Sites
spine.surgery
spondylolisthesis.info
paraplegia.today

Stem Cell Therapy Site
neurostemcell.com


 

Inomed Stockert Neuro N50. A versatile
RF lesion generator and stimulator for
countless applications and many uses


 

Multigen RF lesion generator .

20-DECEMBER-2017  HAMZEH SALAH AL-JAABARI  36 YEARS  HUGE PITUITARY ADENOMA WITH MASSIVE INFRASELLAR AND MODERATE SUPRASELLAR EXTENSION.

 
 

Anamnesis

bullet

The patient came to the clinic 14-December-2017 complaining of blurred vision left eye for three years. The last week go almost blind left eye with decreased vision right eye. MRI done in Turkey 11-December-2017 showing huge pituitary adenoma with massive infrasellar and moderate suprasellar extension with signs of apoplexy of the tumor bed with fluid level inside the tumor. The patient is convulsion free.

bullet

On examination, the patient can feel the light in the left eye and can count the fingers around 1 meter before the right eye. The oculo-motor innervation is intact. There is no galactorrhea. Normosmia. There are manifestations of panhypoptuitarism, but no data for diabetes insipidus.

bullet

The patient was sent for thorough radio-ophthalmo-endocrine investigations. MRI of the sella with MRA done 16-December-2017 showed the tumor pushing the chiasm and optic nerves with suprasellar extension around 16.2 mm. The tumor has massive infrasellar extension reaching the naso-pharyngeal space abutting it. The tumor dimensions are 37.3x28.6 mm. There is no invasion of the cavernous sinuses. There is fluid level inside the tumor confirming the presence of apoplexy. Visual acuity of the right eye after correction 6/6. The left eye 6/0.05. There is massive scatoma left eye with less in the right eye. Prolactine 470 ng/ml, LH 1.19, testosterone 0.3. Considering the above data trans-sphenoidal approach with MRI control was advised. Mathematically speaking the volume of the tumor with the hypophysis is around 8.8 ml.  

bullet

The patient was put in setting position to perform trans-sphenoidal approach with the C-arm projecting to the sella turcica. A trial to evacuate the tumor by epidural needle 14 was attempted and brownish content was achieved. The patient was sent for MRI control. The tumor still there with new bleeding inside the evacuated cavity. The puncture site was extended and the rubbery pituitary inferior wall was incised.  The tumor was removed using curettes for biopsy and the remaining was removed by suction. It was possible to see the posterior borders of the pituitary gland. Using Omnipaque diluted  3cc was injected to the tumor cavity. It is pulsating well, manifesting the absence of suprasellar part of the tumor. The patient was sent another time for MRI control. The tumor practically resected with the pituitary stalk hanging free and the optic nerves more than 8 mm above the superior surface of the preserved pituitary gland. There is no bleeding inside the cavity. Routine closure with tampons of nostrils. 

bullet

Smooth postoperative recovery. The patient was sent to the ward.

Comments  

bullet

The patient can be operated intracranially, but the massive infrasellar extension is hard to detect through such angles, even with endoscopic facilities.

bullet

This postoperative course of transphenoidal approach is smooth in comparison to subfrontal approach.

bullet

The tumor configuration dictate the proper approach.

bullet

For more details about trans-sphenoidal approach click here, please.

 

 

 

 

 

 

Skyra MRI with all clinical applications in the run since 28-Novemeber-2013.


Inomed Riechert-Mundinger System, with three point fixation is the most accurate system in the market. The microdrive and its sensor gives feed back about the localization.


Inomed MER system

Leica HM500

Leica HM500
The World's first and the only Head mounted Microscope.
Freedom combined with Outstanding Vision, but very bad video recording and documentation.

TRUMPF TruSystem 7500

After long years TRUMPF TruSystem 7500 is running with in the neurosuite at Shmaisani hospital starting from 23-March-2014

 


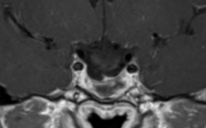
Fig:1- Follow up MRI performed 14-January-2019 3 months after completion of radiotherapy.

 

Back Up!

Notice: Not all operative activities can be recorded due to lack of time.
Notice: Head injuries and very urgent surgeries are also escaped from the plan .

  

 

 

 

 

 

 

 

 

 

 

 

 

WELCOME TO AL-SHMAISANI HOSPITAL

 


View Larger Map
 

© [2017] [CNS CLINIC - NEUROSURGERY - JORDAN]. All rights reserved