Most of the site will reflect the ongoing surgical activity of Prof. Munir Elias MD., PhD. with brief slides and weekly activity. For reference to the academic and theoretical part, you are welcome to visit  neurosurgery.tv

Functional Neurosurgery
functionalneuro.surgery
Functionalneurosurgery.net

IOM Sites
iomonitoring.org
operativemonitoring.com

Neurosurgical Sites
neurosurgery.art
neurosurgery.me
neurosurgery.mx
skullbase.surgery

Neurosurgical Encyclopedia
neurosurgicalencyclopedia.org

Neurooncological Sites
acousticschwannoma.com
craniopharyngiomas.com
ependymomas.com
gliomas.info
gliomas.uk
meningiomas.org
neurooncology.me
pinealomas.com
pituitaryadenomas.com 

Neuroanatomical Sites
humanneuroanatomy.com 
microneuroanatomy.com

Neuroanesthesia Sites
neuro-anesthessia.org

Neurobiological Sites
humanneurobiology.com

Neurohistopathological
neurorhistopathology.com

Neuro ICU Site
neuroicu.info

Neuroophthalmological
neuroophthalmology.org

Neurophysiological Sites
humanneurophysiology.com

Neuroradiological Sites
neuroradiology.today

NeuroSience Sites
neuro.science

Neurovascular Sites
vascularneurosurgery.com

Personal Sites
cns.clinic

Spine Surgery Sites
spine.surgery
spondylolisthesis.info
paraplegia.today

Stem Cell Therapy Site
neurostemcell.com


 

Inomed Stockert Neuro N50. A versatile
RF lesion generator and stimulator for
countless applications and many uses


 

Multigen RF lesion generator .

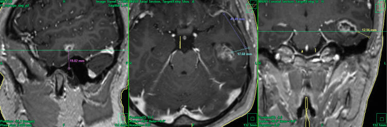
15-SEPTEMBER-2015  HUDA ABDEL-JALEEL AL-MBAYED  19 YEARS GLIOMA OF THE LEFT TEMPORAL LOBE.

 

Anamnesis

bullet

The patient came to the clinic 12-July-2015 complaining of epi attacks for 4 years and was in Tegretol 400 CR twice a week. MRI of the brain done 01-June-2014 showing cystic lesion anterior to the left inferior horn.

bullet

On examination: The patient is alert with slight right hemiparesis,

bullet

The patient was sent for new investigations and MRI of the brain performed 22-July-2015 showing the mass considerably enlarged in diameter 28.3x18.4 mm anterior to the left inferior horn. Spectroscopy showed high choline levels with glioma nature of the mass.

bullet

Lazy S-shape incision to the left temporal region. A bony flap was created over the projection of the tumor. The dura was opened in t-shaped fashion. Transcortical approach to the tumor. The tumor was violate friable, and multiple consistency. The tumor was resected and the inferior horn was exposed as landmark confirming the radical resection of the mass, which was sent for histologic investigations. Hemostasis and before closing the wound, MRI was done, which confirmed the radical resection of the mass but showing a separate seeder in the left border of the anterior commeasure abutting the posterior border of the left MCA, reaching the left Internal capsule. It was decided not to violate them, because they are deeply seated and the mortality and permanent postoperative plegia is at best outcome.  Routine closure of the wound.

bullet

Smooth postoperative recovery. The patient showed dense right sided plegia which was improving over hours after surgery. She was sent to the ward.

Follow Up

bullet

The patient showed mutism after surgery with denial to move the right side of the body. She could move with painful stimulation and produce sounds. She could write and understand the verbal commands. Largatil 25 mg was started 20-September-2015.

bullet

The final histologic result was astrocytoma grade II.

Lesson

bullet

The data from which the plan was configured was from 22-July-2015. It seems due to malignant nature of the tumor, many changes took place. during 45 days. The next time MRI must be fresh not less than 1-4 days before surgery.

 

 

Comments  

bullet

The spectroscopy raise alert about the non-benign nature of the tumor, but I personally gave admission to the patient at the first visit. The family delay due to financial reasons, pushed to me to ignore asking for new MRI.

 

Skyra MRI with all clinical applications in the run since 28-Novemeber-2013.


Inomed Riechert-Mundinger System, with three point fixation is the most accurate system in the market. The microdrive and its sensor gives feed back about the localization.


Inomed MER system

Leica HM500

Leica HM500
The World's first and the only Headmounted Microscope.
Freedom combined with Outstanding Vision, but very bad video recording and documentation.

TRUMPF TruSystem 7500

After long years TRUMPF TruSystem 7500 is running with in the neurosuite at Shmaisani hospital starting from 23-March-2014

 


Choline distribution showing an active nidus medio-basal to the mass.


Spectroscopy of the mass confirming glial nature of the mass.


Localization of the tumor according to data 22-July-2015 using Inomed Planning sofware.

Back Up!

Notice: Not all operative activities can be recorded due to lack of time.
Notice: Head injuries and very urgent surgeries are also escaped from the plan .

WELCOME TO AL-SHMAISANI HOSPITAL

 


View Larger Map
 

© [2015] [CNS CLINIC - NEUROSURGERY - JORDAN]. All rights reserved