Munir Elias 20-12-2013

Most of the site will reflect the ongoing surgical activity of Prof. Munir Elias MD., PhD. with brief slides and weekly activity. For reference to the academic and theoretical part, you are welcome to visit  neurosurgery.tv

Functional Neurosurgery
functionalneuro.surgery
Functionalneurosurgery.net

IOM Sites
iomonitoring.org
operativemonitoring.com

Neurosurgical Sites
neurosurgery.art
neurosurgery.me
neurosurgery.mx
skullbase.surgery

Neurosurgical Encyclopedia
neurosurgicalencyclopedia.org

Neurooncological Sites
acousticschwannoma.com
craniopharyngiomas.com
ependymomas.com
gliomas.info
gliomas.uk
meningiomas.org
neurooncology.me
pinealomas.com
pituitaryadenomas.com 

Neuroanatomical Sites
humanneuroanatomy.com 
microneuroanatomy.com

Neuroanesthesia Sites
neuro-anesthessia.org

Neurobiological Sites
humanneurobiology.com

Neurohistopathological
neurorhistopathology.com

Neuro ICU Site
neuroicu.info

Neuroophthalmological
neuroophthalmology.org

Neurophysiological Sites
humanneurophysiology.com

Neuroradiological Sites
neuroradiology.today

NeuroSience Sites
neuro.science

Neurovascular Sites
vascularneurosurgery.com

Personal Sites
cns.clinic

Spine Surgery Sites
spine.surgery
spondylolisthesis.info
paraplegia.today

Stem Cell Therapy Site
neurostemcell.com


 

Inomed Stockert Neuro N50. A versatile
RF lesion generator and stimulator for
countless applications and many uses


 

Multigen RF lesion generator .

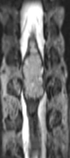
 11-DECEMBER-2014  IBTISAM SAEED ISMAEEL  65 YEARS  INTRAMEDULLARY EPENDYMOMA AT D9-10 LEVEL.

 

Anamnesis

bullet

The patient came to the clinic 02-December-2014 complaining of back pain for 8 months with numbness both feet last 2 weeks.

bullet

On examination, the patient is not limping with mild scoliotic stance. The left AJ is absent. There is weak dorsiflexion left foot 4/5. There is pain during percussion of the lower dorsal spine.

bullet

The patient was sent for MRI of the dorsal and lumbar spine. MRI lumbar done the same day showing huge cyst right kidney and bulge L3-4 and L4-5 disci. The dorsal spine showed intramedullary mass extending from D9 down to D10. Spectroscopy and DTI were performed and shown below.

bullet

Laminectomy D9,10 and partial of D8 and D11. The dura was opened. The tumor was seen under the surface of the medulla and it was expanding it to all directions. A small parallel to the midline incision were the tumor was seen was done through which a golden fluid came out. Attempt to remove the tumor through this small incision failed because the tumor was stuck to all walls of the spinal cord cavity. It was necessary to extend the posterior incision all over the tumor to achieve practical total removal. Inomed lumbar spine protocol was used, but it was troubleshooting, for what transpedicular set was used instead.  The roots above and at and below the resected tumor were functioning. The wound after meticulous hemostasis was closed and MRI of the tumor bed was done confirming total resection of the tumor.

bullet

Smooth postoperative recovery. The patient moving both lower limbs with more weakness in the right leg.

Follow Up

bullet

The patient after surgery cannot walk, despite the fact that the power of both lower limbs became normal. On examination there is hypalgesia of the right anterior thigh for pain light touch and temperature. The left foot is colder than the right. The deep reflexes are present both side more brisk in the right. She has bilateral disturbed. The 2 point discrimination is not achievable over all the body, which made it hopeless in the clinical evaluation. The conscious muscle joint sense is disturbed both sides more in the proximal muscles of the legs. We could make her walk 3-4 steps the 3d postoperative day and aggressive physiotherapy is undertaken.

 

 

Comments  

bullet

The patient was bleeding all the time and after mutual conflict with the anaesthesia staff, they were told to decrease the patient high blood pressure and to give her Vit K 10 mg. after what it became more possible, but still difficult to work.

bullet

Fibertraking is misleading in pathological anatomy in the brain and spinal cord. This case failed to show the real thickness and distribution of the spinal cord fibers.

bullet

The entire tumor capsule was adherent to the spinal cord. It was necessary to perform long posterior incision, which can cause more neurologic sequelae.

Skyra MRI with all clinical applications in the run since 28-Novemeber-2013.

Leica HM500

Leica HM500
The World's first and the only Headmounted Microscope.
Freedom combined with Outstanding Vision, but very bad video recording and documentation.

TRUMPF TruSystem 7500

After long years TRUMPF TruSystem 7500 is running with in the neurosuite at Shmaisani hospital starting from 23-March-2014


Inomed MER system



Spectroscopy showing low NAA with low choline which is in favor for low grade ependymoma.

 
Fibertraking of the spinal cord around the lesion in anterior first, left second, posterior third and the last is right projections showing the fibers more concentrated in the left side, despite the fact the patient has weak left foot.

 
MRI in coronal and sagittal sections showing the tumor before surgery


Intraoperative MRI Sagittal showing radical removal of the tumor.


Intraoperative MRI axial views showing that the spinal cord mass was mainly in the left side supporting the fibertraking data.

Back Up!

Notice: Not all operative activities can be recorded due to lack of time.
Notice: Head injuries and very urgent surgeries are also escaped from the plan .

WELCOME TO AL-SHMAISANI HOSPITAL

 


View Larger Map
 

© [2014] [CNS CLINIC - NEUROSURGERY - JORDAN]. All rights reserved