Most of the site will reflect the ongoing surgical activity of Prof. Munir Elias MD., PhD. with brief slides and weekly activity.

Functional Neurosurgery
functionalneuro.surgery
Functionalneurosurgery.net

IOM Sites
iomonitoring.org
operativemonitoring.com

Neurosurgical Sites
neurosurgery.art
neurosurgery.me
neurosurgery.mx
skullbase.surgery

Neurosurgical Encyclopedia
neurosurgicalencyclopedia.org

Neurooncological Sites
acousticschwannoma.com
craniopharyngiomas.com
ependymomas.com
gliomas.info
gliomas.uk
meningiomas.org
neurooncology.me
pinealomas.com
pituitaryadenomas.com 

Neuroanatomical Sites
humanneuroanatomy.com 
microneuroanatomy.com

Neuroanesthesia Sites
neuro-anesthessia.org

Neurobiological Sites
humanneurobiology.com

Neurohistopathological
neurorhistopathology.com

Neuro ICU Site
neuroicu.info

Neuroophthalmological
neuroophthalmology.org

Neurophysiological Sites
humanneurophysiology.com

Neuroradiological Sites
neuroradiology.today

NeuroSience Sites
neuro.science

Neurovascular Sites
vascularneurosurgery.com

Personal Sites
cns.clinic

Spine Surgery Sites
spine.surgery
spondylolisthesis.info
paraplegia.today

Stem Cell Therapy Site
neurostemcell.com


 

Inomed Stockert Neuro N50. A versatile
RF lesion generator and stimulator for
countless applications and many uses


 

Multigen RF lesion generator .

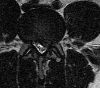
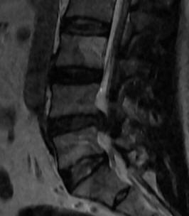
 21-DECEMBER-2016  JAAFAR MUHAMED MISLEH 43 YEARS  HUGE EXTRUDED DISK L4-5 WITH LEFT FORAMINAL OCCLUSION.

 

Anamnesis

bullet

The patient came to the clinic 20-December-2016 complaining of LBP for 20 years with left sciatica for 2 months with numbness of all toes left foot. MRI lumbar spine performed 14-December-2016 showing huge extruded disc L4-5 with left foraminal occlusion and downward migration. The patient tried all alternative methods of treatment and failed.

bullet

On examination, the patient is limping now with exaggerated scoliotic stance. SLRS was 80 degrees with pain in the left. There is weak left foot dorsiflexion 3/5 with hypalgesia left L5, S1 territories.

bullet

Left L5 foraminotomy was achieved. The extruded disk was removed lateral to the axilla under the L5 root. Left sided cleaning of L4-5 was performed. Using MultiGen, bipolar motor stimulation of left L5 was achieved with 1.8 V. A bipolar pulsed mode RF with 42 Celsius, 240 sec, 2 Hz and 20 msec duration to left L5 root was achieved using 2 bended catheters 10 mm exposed length. Further motor stimulation done to the same root and the response was 1.4 V in the left L5 with more brisk response. Routine closure of the wound.

bullet

Smooth postoperative recovery. The power of left foot improved and he was sciatica free. He was sent to the ward.


MultiGen

 

 

Comments  

bullet

The patient still having an estimated postoperative recurrence around 7%, because the disc space is still not shallow.

bullet

This is the 96th case using the BPRF mode with MultiGen. This procedure regained routine acceptance.  It became a usual part of the spine and peripheral nerves surgery. Click here for reference.

bullet

It still unclear to evaluate the differences of pre and post application motor responses. The only sure thing that it tell that the electrodes did not migrate during the procedure and the nerve is functioning properly. Here there was considerable improvement of the threshold of stimulation power of motor stimulation after the BPRF.

bullet

With accumulation of data, it became clear that the irritated nerve with aberrant currents running in the C fibers up, not only causing no change or elevation of the required voltage to achieve motor response, but they could cause the preoperative weakness. Ablation of such currents results in facilitation of the motor response and improvement of function with disappearance of pain.

bullet

It is unclear why the roots have several motor response with different patients, despite the fact that the neurological status is the same and the anaesthesia protocol also the same.

Skyra MRI with all clinical applications in the run since 28-Novemeber-2013.


Inomed Riechert-Mundinger System, with three point fixation is the most accurate system in the market. The microdrive and its sensor gives feed back about the localization.


Inomed MER system

Leica HM500

Leica HM500
The World's first and the only Headmounted Microscope.
Freedom combined with Outstanding Vision, but very bad video recording and documentation.

TRUMPF TruSystem 7500

After long years TRUMPF TruSystem 7500 is running with in the neurosuite at Shmaisani hospital starting from 23-March-2014

 

 
The extruded disc L4-5  in sagittal and axial views.

Back Up!

Notice: Not all operative activities can be recorded due to lack of time.
Notice: Head injuries and very urgent surgeries are also escaped from the plan .

WELCOME TO AL-SHMAISANI HOSPITAL

 


View Larger Map
 

© [2016] [CNS CLINIC - NEUROSURGERY - JORDAN]. All rights reserved