Functional Neurosurgery
functionalneuro.surgery
Functionalneurosurgery.net

IOM Sites
iomonitoring.org
operativemonitoring.com

Neurosurgical Sites
neurosurgery.art
neurosurgery.me
neurosurgery.mx
skullbase.surgery

Neurosurgical Encyclopedia
neurosurgicalencyclopedia.org

Neurooncological Sites
acousticschwannoma.com
craniopharyngiomas.com
ependymomas.com
gliomas.info
gliomas.uk
meningiomas.org
neurooncology.me
pinealomas.com
pituitaryadenomas.com 

Neuroanatomical Sites
humanneuroanatomy.com 
microneuroanatomy.com

Neuroanesthesia Sites
neuro-anesthessia.org

Neurobiological Sites
humanneurobiology.com

Neurohistopathological
neurorhistopathology.com

Neuro ICU Site
neuroicu.info

Neuroophthalmological
neuroophthalmology.org

Neurophysiological Sites
humanneurophysiology.com

Neuroradiological Sites
neuroradiology.today

NeuroSience Sites
neuro.science

Neurovascular Sites
vascularneurosurgery.com

Personal Sites
cns.clinic

Spine Surgery Sites
spine.surgery
spondylolisthesis.info
paraplegia.today

Stem Cell Therapy Site
neurostemcell.com


 

Inomed Stockert Neuro N50. A versatile
RF lesion generator and stimulator for
countless applications and many uses


 

Multigen RF lesion generator .

23-JANUARY-2022  JIRA NIZAR SULAYMAN  16 YEARS  MASS RIGHT OCCIPITO-TEMPORAL LOBES WITH MASSIVE EDEMA.

 

Anamnesis

bullet

The patient came to the clinic 25-December-2021 complaining of episodes of absences for 6 months with occurrence once per month with headache.

bullet

On examination, the patient complaining of headache and she was neurologically free. There is only exaggerated deep reflexes in the right upper limb.

bullet

The patient was sent for investigations and MRI of the brain done showing a mass in the right occipito-temporal area, multiple consistency with massive edema around it, involving the entire right hemisphere with deviation of the mid structures to the left with pending subfalcine herniation. Spectroscopy done ruling out malignant nature of the mass. It had pathological arterial feeders from the choroid plexus right posterior horn. The report was suggesting mixed solid and cystic lesion with enhancing solid component suggestive of pleomorphic xanthoastrocytoma, less likely intermediate grade astrocytoma.

bullet

In concord position with the right occipital area hanging high, using the navigation, craniotomy of the right occipito-temporal area was achieved. The dura was opened parallel to the upper edge of the transverse sinus and extended anterior to lower most of the middle fossa. The tumor was rubbery solid and the SONOCA 300 could not help removing the tumor. The tumor was rich in vascularity and it was needed to coagulate the tumor and sharp dissection was proceeded. Fresh frozen biopsy was inconclusive, but it was advised to remove the whole tumor. The vein of Labbe was identified and resection of the tumor was proceeded, so as to preserve this important vein. The boundaries of the tumor were identified and the lepto-meningial extension was considered to be removed with the solid parts of the tumor. The right posterior horn was seen and the tumor with the pathologic arteries were bisected and removed. Radical resection of the tumor was achieved and confirmed with intraoperative MRI with T1 mprage with contrast.  Strict hemostasis with preservation of all the running veins at the tentorium. The brain regained normal pulsation and relaxed. For more security, a layer of Surgicele was applied at the tumor boundaries and over the prominent veins at the tentorium. Routine closure of the wound. Smooth postoperative recovery. She was sent to the ICU for 24 hour observation.

FOLLOW UP

bullet

Too early now, but the patient in the ICU 6 hours later alert and no neurologic deficit.

bullet

The final histologic result was intracerebral schwannoma with no evidence of malignancy. This case to the mentioned reference is the 12 reported case in the literature.

 

Comments  

bullet

The patient has strange mass with such massive edema. Surgical removal was mandatory.

 

Skyra MRI with all clinical applications in the run since 28-Novemeber-2013.


Inomed Riechert-Mundinger System, with three point fixation is the most accurate system in the market. The microdrive and its sensor gives feed back about the localization.


Inomed MER system

Leica HM500

Leica HM500
The World's first and the only Head mounted Microscope.
Freedom combined with Outstanding Vision, but very bad video recording and documentation.

TRUMPF TruSystem 7500

After long years TRUMPF TruSystem 7500 is running with in the neurosuite at Shmaisani hospital starting from 23-March-2014

LooksCam II in the run.
LooksCam II Xenosys in the run  starting from  14-March-2021 with SheerVision TTL x4 magnification.


SONOCA 300







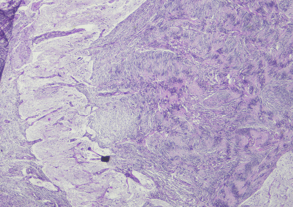
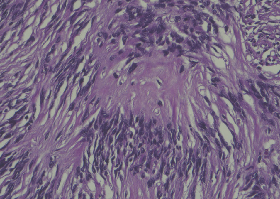
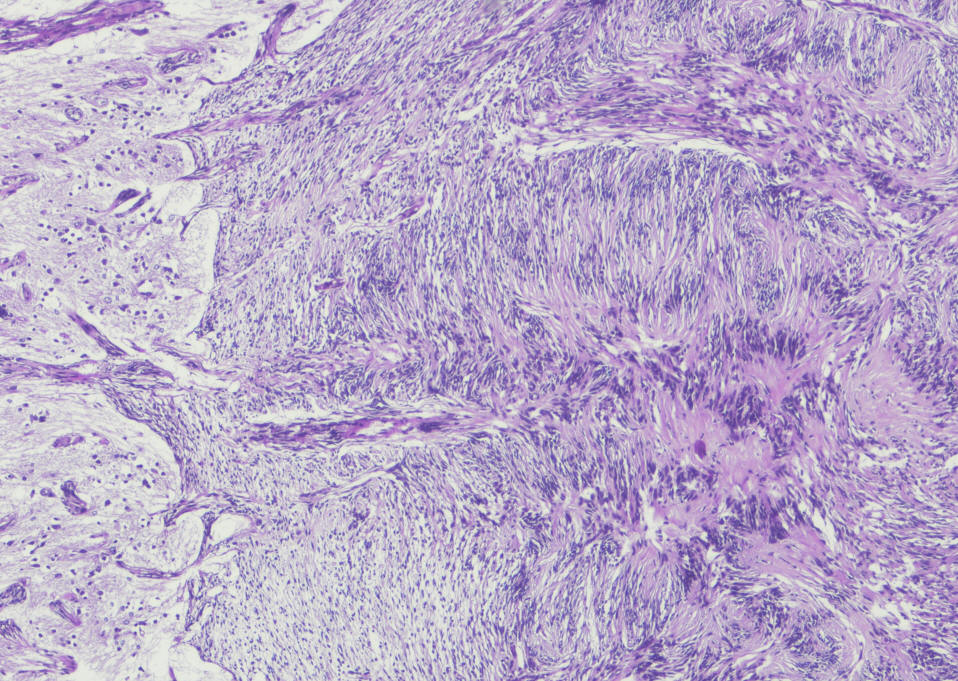
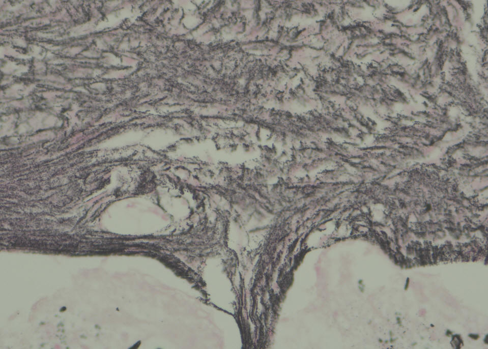
Sections show a circumscribed tumor composed of spindle cells displaying prominent nuclear palisading and Vercoy bodies. This lesion exhibits peripheral tongues extending into the brain cortical tissue. There is no evidence of mitotic activity, nuclear anaplasia or necrosis. Tumor shows heavy interstitial reticulin deposition and reacted positively to S-100 and Vimentin. Tumor did not react to GFAP and EMA. Proliferative index was estimated at 2%, but not exceed 3% in any area. There is no evidence of malignancy. Conclusion: Intracerbral schwannoma. ( Prof. Yahya F. Dajani Consultant pathologist. 29-January-2022.

Notice: Not all operative activities can be recorded due to lack of time.
Notice: Head injuries and very urgent surgeries are also escaped from the plan .


 

 

 

WELCOME TO AL-SHMAISANI HOSPITAL

 


View Larger Map

© [2022] [CNS CLINIC - NEUROSURGERY - JORDAN]. All rights reserved