Functional Neurosurgery
functionalneuro.surgery
Functionalneurosurgery.net

IOM Sites
iomonitoring.org
operativemonitoring.com

Neurosurgical Sites
neurosurgery.art
neurosurgery.me
neurosurgery.mx
skullbase.surgery

Neurosurgical Encyclopedia
neurosurgicalencyclopedia.org

Neurooncological Sites
acousticschwannoma.com
craniopharyngiomas.com
ependymomas.com
gliomas.info
gliomas.uk
meningiomas.org
neurooncology.me
pinealomas.com
pituitaryadenomas.com 

Neuroanatomical Sites
humanneuroanatomy.com 
microneuroanatomy.com

Neuroanesthesia Sites
neuro-anesthessia.org

Neurobiological Sites
humanneurobiology.com

Neurohistopathological
neurorhistopathology.com

Neuro ICU Site
neuroicu.info

Neuroophthalmological
neuroophthalmology.org

Neurophysiological Sites
humanneurophysiology.com

Neuroradiological Sites
neuroradiology.today

NeuroSience Sites
neuro.science

Neurovascular Sites
vascularneurosurgery.com

Personal Sites
cns.clinic

Spine Surgery Sites
spine.surgery
spondylolisthesis.info
paraplegia.today

Stem Cell Therapy Site
neurostemcell.com


 

Inomed Stockert Neuro N50. A versatile
RF lesion generator and stimulator for
countless applications and many uses


 

Multigen RF lesion generator .

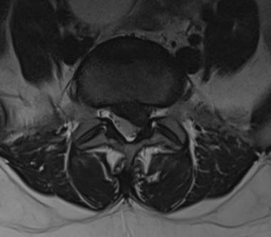
29-DECEMBER-2019  MASHAEL ISMAEEL MUHAMED  46 YEARS  HUGE EXTRUDED DISC L5-S1 WITH LEFT FORAMINAL OCCLUSION.

 
 

Anamnesis

bullet

The patient came to the clinic 28-December-2019 with severe LBP and agonizing left sciatica, pain and numbness left S1 territory for 2 months. MRI lumbar spine performed 23-December-2019 showing huge extruded disc L5-S1 with left foraminal occlusion.

bullet

On examination: The patient is in agonizing pain, limping with exaggerated scoliotic stance and has weak dorsi and planterflexion left foot -4/5. SLRS was 45 degrees with pain in the left.

bullet

Foraminotomy left S1 root with reflection of the ligamentum flavum to the right. The extruded disc was removed and left sided intradiscal cleaning L5-S1 was achieved. Using MultiGen, bipolar motor stimulation of the left S1 root was achieved with 1.8 Volts. A bipolar pulsed mode RF with 42 Celsius, 240 sec, 2 Hz and 20 msec duration to left S1 root  was achieved using 2 bended catheters 10 mm exposed length. Further bipolar motor stimulation of the left L5 root was achieved with 1.0 Volt. The patient was put in Reverse Trendelenburg position with Valsalva maneuver and hyperventilation. No CSF leak. The ligamentum flavum reflected back in place. Routine closure of the wound.

bullet

Smooth postoperative recovery. The power of left foot normalized. She is sciatica free. She was sent to the ward.


MultiGen

Comments  

bullet

There is still an estimated postoperative disc recurrence around 7%, since the disc space is not completely shallow.

bullet

This is the 193d case using the BPRF mode with MultiGen. This procedure regained routine acceptance.  It became a usual part of the spine and peripheral nerves surgery. Click here for reference.

bullet

It still unclear to evaluate the differences of pre and post application motor responses. The only sure thing that it tells that the electrodes did not migrate during the procedure and the nerve is functioning properly. Here the threshold of stimulation power of motor stimulation of the severely affected nerve improved dramatically.

bullet

With accumulation of data, it became clear that the irritated nerve with aberrant currents running in the C fibers up, not only causing no change or elevation of the required voltage to achieve motor response, but they could cause the preoperative weakness. Ablation of such currents results in facilitation of the motor response and improvement of function with disappearance of pain.

bullet

It is unclear why the roots have several motor response with different patients, despite the fact that the neurological status is the same and the anesthesia protocol also the same.

bullet

It could be that the nerve is recovering minute by minute after decompression and this can explain why the motor conductivity is improving after the BPRF application, which require 4 minute session in most cases.

bullet

After the 172d case, the elevation of motor stimulation above 5 V was abandoned to avoid delayed dural tear with subsequent CSF leak, which take place at the contact at the lower electrode shaft with the dura below the level of the axilla.

Skyra MRI with all clinical applications in the run since 28-Novemeber-2013.


Inomed Riechert-Mundinger System, with three point fixation is the most accurate system in the market. The microdrive and its sensor gives feed back about the localization.


Inomed MER system

Leica HM500

Leica HM500
The World's first and the only Head mounted Microscope.
Freedom combined with Outstanding Vision, but very bad video recording and documentation.

TRUMPF TruSystem 7500

After long years TRUMPF TruSystem 7500 is running with in the neurosuite at Shmaisani hospital starting from 23-March-2014

 


Fig-1: The extruded disc L5-S1.

 


 

Back Up!

Notice: Not all operative activities can be recorded due to lack of time.
Notice: Head injuries and very urgent surgeries are also escaped from the plan .

  

 

 

 

 

 

 

 

 

 

 

 

 

WELCOME TO AL-SHMAISANI HOSPITAL

 


View Larger Map
 

© [2019] [CNS CLINIC - NEUROSURGERY - JORDAN]. All rights reserved