Munir Elias 20-12-2013

Most of the site will reflect the ongoing surgical activity of Prof. Munir Elias MD., PhD. with brief slides and weekly activity. For reference to the academic and theoretical part, you are welcome to visit  neurosurgery.tv

Functional Neurosurgery
functionalneuro.surgery
Functionalneurosurgery.net

IOM Sites
iomonitoring.org
operativemonitoring.com

Neurosurgical Sites
neurosurgery.art
neurosurgery.me
neurosurgery.mx
skullbase.surgery

Neurosurgical Encyclopedia
neurosurgicalencyclopedia.org

Neurooncological Sites
acousticschwannoma.com
craniopharyngiomas.com
ependymomas.com
gliomas.info
gliomas.uk
meningiomas.org
neurooncology.me
pinealomas.com
pituitaryadenomas.com 

Neuroanatomical Sites
humanneuroanatomy.com 
microneuroanatomy.com

Neuroanesthesia Sites
neuro-anesthessia.org

Neurobiological Sites
humanneurobiology.com

Neurohistopathological
neurorhistopathology.com

Neuro ICU Site
neuroicu.info

Neuroophthalmological
neuroophthalmology.org

Neurophysiological Sites
humanneurophysiology.com

Neuroradiological Sites
neuroradiology.today

NeuroSience Sites
neuro.science

Neurovascular Sites
vascularneurosurgery.com

Personal Sites
cns.clinic

Spine Surgery Sites
spine.surgery
spondylolisthesis.info
paraplegia.today

Stem Cell Therapy Site
neurostemcell.com


 

Inomed Stockert Neuro N50. A versatile
RF lesion generator and stimulator for
countless applications and many uses


 

Multigen RF lesion generator .

18-DECEMBER-2014  SHAIMA FALAH HASAN  29 YEARS  TB PACHYMENINGITIS WITH SECONDARY FLARE WITH COMPLETE PARAPLEGIA.

 

Anamnesis

bullet

The patient was operated by me 10-December-2014 for tb pachymeningitis and showed signs of improvement. She came 12-June-2014 walking with aid with slight diffuse weak both lower limbs with power ranging from 5/5 -4/5.with scattered hypalgesia below the umbilicus with preserved sensation of the left leg below the knee. The patient then came to the clinic 17-December-2014 complaining of complete paraplegia the last day with Foley catheter  in wheelchair. She started to dyseasthesia of the left flank 2 months ago which gradually spread to both sides. 20 days ago she got sudden onset loss of sensation of the right leg. The last 3 days got progressing paraplegia with the last movement was noted yesterday of the toes of the left foot.

bullet

On examination, the patient has complete paraplegia and analgesia 7 cm above the umbilicus.

bullet

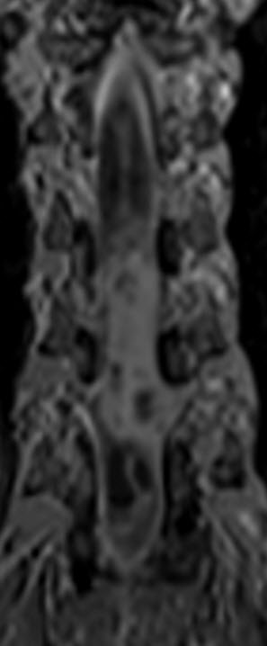
MRI of the dorsal spine with contrast and myelography and fibertraking and spectroscopy showing the recent lesions as seen in the below pictures with abscess formation.

bullet

The patient was admitted urgently and given Decadron 16 mg I/V 8 h. The patient the next day, showed some movement of both legs, better of the left, for what it is was decided to operate her.

bullet

The old incision refreshed and the partially laminectomized D6 was completed to regain normal anatomy. The dura was opened and downward dissection and meylolysis was performed in the midline. The lyodura was seen and included in the incision in the midline. There was another layer under the lyodura, which was a reactionary layer to the lyodura, which was also bisected to obtain maximum release of the spinal cord. According to MRI data aspiration of the upper abscess was succeeded and a thick yellow fluid was obtained. About 3-4 mm sharp incision in the midline was performed to expose the abscess cavity, which was irrigated by saline and part of the capsule with the fluid were sent for through investigations. There is no CSF coming nor from the proximal. nor the lower field of the wound. Intraoperative MRI was done with contrast was done showing the shrinkage of the upper major cavity. The left sided dark colored lesion below the cavity was studied and it was bony hard and it was drilled away until the healthy dura was seen medially. The right lower cavity was aspirated and clear fluid came out and a small incision around 2 mm was performed over it to promote escape of any hidden fluid. The scar was stitched by nylon water-tightly in such way, that further decompression of the spinal cord was achieved. Routine closure of the wound.

bullet

Smooth postoperative recovery. The patient immediately after the surgery could feel her left leg and some movement of the feet, better in the left and can with difficulty move the adductors and abductors of the hips.

 

 

Comments  

bullet

It was decided before surgery, that if the patient will not improve with Decadron, to abandon the surgery, but she showed some improvement, for what surgery was performed to give the spinal cord the best environment for better healing.

bullet

Lyodura inserted in the first surgery generated another layer inside adherent to the pathologic spinal cord.

Skyra MRI with all clinical applications in the run since 28-Novemeber-2013.

Leica HM500

Leica HM500
The World's first and the only Headmounted Microscope.
Freedom combined with Outstanding Vision, but very bad video recording and documentation.

TRUMPF TruSystem 7500

After long years TRUMPF TruSystem 7500 is running with in the neurosuite at Shmaisani hospital starting from 23-March-2014


Inomed MER system


MRI showing the new flare with abscess malformation and the old one

          
Fibertraking of the spinal cord at the lesion showing some scanty fibers ready for attack from behind (The middle picture)


Spectroscopy confirming the tbc abscess nature of the flare. High lipid and the choline is due to contamination of the voxel.

Back Up!

Notice: Not all operative activities can be recorded due to lack of time.
Notice: Head injuries and very urgent surgeries are also escaped from the plan .

WELCOME TO AL-SHMAISANI HOSPITAL

 


View Larger Map
 

© [2014] [CNS CLINIC - NEUROSURGERY - JORDAN]. All rights reserved