Functional Neurosurgery
functionalneuro.surgery
Functionalneurosurgery.net

IOM Sites
iomonitoring.org
operativemonitoring.com

Neurosurgical Sites
neurosurgery.art
neurosurgery.me
neurosurgery.mx
skullbase.surgery

Neurosurgical Encyclopedia
neurosurgicalencyclopedia.org

Neurooncological Sites
acousticschwannoma.com
craniopharyngiomas.com
ependymomas.com
gliomas.info
gliomas.uk
meningiomas.org
neurooncology.me
pinealomas.com
pituitaryadenomas.com 

Neuroanatomical Sites
humanneuroanatomy.com 
microneuroanatomy.com

Neuroanesthesia Sites
neuro-anesthessia.org

Neurobiological Sites
humanneurobiology.com

Neurohistopathological
neurorhistopathology.com

Neuro ICU Site
neuroicu.info

Neuroophthalmological
neuroophthalmology.org

Neurophysiological Sites
humanneurophysiology.com

Neuroradiological Sites
neuroradiology.today

NeuroSience Sites
neuro.science

Neurovascular Sites
vascularneurosurgery.com

Personal Sites
cns.clinic

Spine Surgery Sites
spine.surgery
spondylolisthesis.info
paraplegia.today

Stem Cell Therapy Site
neurostemcell.com


 

Inomed Stockert Neuro N50. A versatile
RF lesion generator and stimulator for
countless applications and many uses


 

Multigen RF lesion generator .

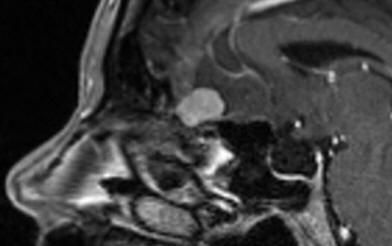
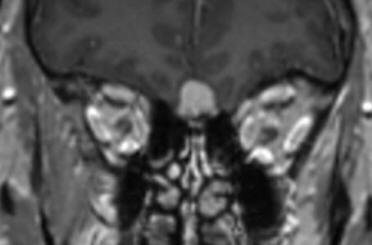
09-SEPTEMBER-2019  ZAINAB ABDALLA WADI  51 YEARS  PROGRESSING OLFACTORY GROOVE MENINGIOMA.

 
 

Anamnesis

bullet

The patient came to the clinic 15-Sptember-2018 complaining of absence attacks for 2 years  every week with tonic-clonic generalization happening the last month. MRI of the brain bad quality performed 04-April-2018 was not informative and EEG 20-September-2016 confirming right temporal lobe sharp activity. On examination at that time, she had bilateral anosmia with tinnitus left ear. The patient is a known diabetic for 2 years and hypertensive for 3 years and cath done 6 months ago and coagulation for arrhythmia performed. The patient using trileptal 300 twice daily. The patient was sent for investigations and MRI of the brain performed 15-September -2018 showing sinusitis with partial empty sella and olfactory groove meningioma 13.4 mmx11.3 mm. Cardiac evaluation was uneventful except for prescribing blopress plus 16/12.5 once daily. The trileptal was prescribed three times a day. It was decided to put the patient under observation to see the progression of the tumor.

bullet

The patient then came 07-September-2019 telling that the absences took place 9 times during the last year. Neurologically was the same with bilateral anosmia.

bullet

The patient was sent for MRI evaluation , which was performed the same day showing enlargement of the tumor 15.4mm x 17.1mm. The tumor enlargement was 1.78 for what it was decided to perform surgery. Tegretol level was 0.22 for what it was advised to increase the trileptal to 1+1+2.

bullet

Bifrontal craniotomy with reflection of the flap to the right ear. The frontal sinus was violated to obtain the most lower projection to the area avoiding by that traction injury to the brain. The dura was opened at the most inferior edge of bony defect. Using SONOCA 300 the tumor was totally resected with the dural matrix near the left olfactory bulb. The olfactory bulbs were preserved. The dura was water-tightly closed and a piece of muscle was embedded to the frontal sinus . Routine closure of the wound with ready-Vac drain under the skin flap.

bullet

Smooth postoperative recovery. She was sent to the ward.

Follow Up

bullet

The patient was discharged the 6th postoperative day with the olfactory function regaining both sides. The histological result was that of mixed (meningothelial+ fibrous patterns) meningioma; WHO Grade I.

Comments  

bullet

The tumor is increasing in size for what resection is preferable.

 

 

 

 

 

 

 

 

 

 

Skyra MRI with all clinical applications in the run since 28-Novemeber-2013.


Inomed Riechert-Mundinger System, with three point fixation is the most accurate system in the market. The microdrive and its sensor gives feed back about the localization.


Inomed MER system

Leica HM500

Leica HM500
The World's first and the only Head mounted Microscope.
Freedom combined with Outstanding Vision, but very bad video recording and documentation.

TRUMPF TruSystem 7500

After long years TRUMPF TruSystem 7500 is running with in the neurosuite at Shmaisani hospital starting from 23-March-2014

 


SONOCA 300


The olfactory groove meningioma in frontal and Saggital projections with contrast.

 

Back Up!

Notice: Not all operative activities can be recorded due to lack of time.
Notice: Head injuries and very urgent surgeries are also escaped from the plan .

  

 

 

 

 

 

 

 

 

 

 

 

 

WELCOME TO AL-SHMAISANI HOSPITAL

 


View Larger Map
 

© [2019] [CNS CLINIC - NEUROSURGERY - JORDAN]. All rights reserved