www.neurosurgery.tv 
   
Munir Elias 20-12-2013
Surgical group is like a football team.

 
Most of the site will reflect the ongoing surgical activity of Prof. Munir Elias MD., PhD. with brief slides and weekly activity. For reference to the academic and theoretical part, you are welcome to visit  neurosurgery.tv

 

 

14-NOVEMBER-2006  ZAKIYEH FADEL SALEH AL-ARDY  31 YEARS  LEFT EXTRAVENTRICULAR CRANIOPHARYNGIOMA WITH LEFT PARA-RETROSELLAR INVASION.

The patient came to clinic 11-November-2006  complaining of headache for 3 years with disturbed memory. The condition deteriorated and she got neck pain and vomiting attacks for 2 weeks and she came with dexametasone coverage. CT-scan performed 05-Noveber-2006  showed a suprachiasmatic mass in the left lateral and III ventricle with secondary acute hydrocephalus.

On examination: the patient had left upper limb weakness and hypalgesia. There was mild weak right lower limb.

The patient was sent for MRI of the brain with contrast and brain MRA and MRI of the cervical spine. MRI performed the next day showing a huge mass resembling craniopharyngioma. The mass was mainly cystic with extraventricular extension left to the third ventricle. It was pushing the hypothalamus to the medial side. It had left para and retrosellar extension.

The patient was operated: bifrontal subfrontal with modification to be combined with left pterional approach was achieved.  Complete mobilization of the left olfactory tract down to the trigon and partial mobilization of the contralateral olfactory tract was performed, after what the frontal lobes felt down by gravity, making it easier to explore the chiasmatic region.

After dissecting the arachnoid around the left olfactory trigon, the prechiasmatic cistern and the left carotid cistern were sharply opened. It was possible to see the solid part of the craniopharyngioma pushing up the left ICA and stuck with it, resembling a giant aneurysm. Further retrochiasmatic dissection carried out and medial to the left olfactory trigon, the A1 was running tightly pushed anteriorly.  Posterior and above the left A1 the cyst was attacked and puncture of the cyst wall was performed to rule out presence of giant aneurysm. A golden greenish fluid came out. It became clear that the lesion is a craniopharyngioma. Evacuation of the huge cyst was achieved. A small miniretrator was inserted directly to the cavity and all the debris and calcified elements were remove.  The cavity was extraventricular, pushing the III ventricle medially. There was no CSF flow from there. The most posterior part of the calcifications was stuck with the basilar artery. A small remnant left there in its wall to avoid possible spasm.

The left parasellar part was debulked and a small remnant was left adherent to the lateral wall of the ICA. The oculomotor nerve was dissected sharply from the tumor and the calcification was removed including the antero-lateral wall of the carotid cistern, which was involved by the tumor.

Ommaya reservoir was put subgalial and its proximal tip inserted to the evacuated cavity. Inspection of the subchismatic region showing the pituitary stalk hanging free and had no relation to the pathology. Routine closure of the wound and smooth postoperative recovery.

The patient showed some dilatation of the left pupil which normalized after 4 hours. Despite the anatomical preservation of olfaction the patient was checked for olfaction. She could not differentiate odors.

16-November-2006: the patient is ambulating with normalization of the oculomotor nerve function and she can feel and differentiate the odors in both nostrils. There were not diabetes incipidus, nor psychomotor irritation. She was transferred to the ward from the ICU.

Comments:

1. Despite the practical subtotal resection of the craniopharyngioma, it is preferable to leave Ommaya reservoir  inside the tumor bed to make it easy for the patient to evacuate the fluid in case of possible recurrence.

2. The olfactory function with anatomical preservation of their integrity, could loose function temporarily, but they then gradually regain function.

3. Wide exposure in this case made it possible to attack the lesion from all corners. The anterior lower edge of the bony defect was flush with the base, avoiding any traction injury to the midiobasal structures and yielding a good visualization space.

4. The left olfactory trigon was stuck to the chiasm, despite that it was possible to do surgery medial and lateral to these structures.

5. You can refer to the theoretical data about craniopharyngioma, click here please for that.

 

 

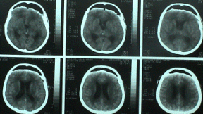
Pre and immediate postoperative CT-scan confirming radical resection of the mass and the Ommaya reservoir seen in place.

Photo and sketch showing the cavity medial to the left olfactory trigon and the empty space after removal of the solid mass between the ICA and the left oculomotor nerve.  It was possible to see the basilar artery inside the cavity.

Back Up!



View Larger Map

 

© [2006] [CNS CLINIC - NEUROSURGERY - JORDAN]. All rights reserved