Functional Neurosurgery
functionalneuro.surgery
Functionalneurosurgery.net

IOM Sites
iomonitoring.org
operativemonitoring.com

Neurosurgical Sites
neurosurgery.art
neurosurgery.me
neurosurgery.mx
skullbase.surgery

Neurosurgical Encyclopedia
neurosurgicalencyclopedia.org

Neurooncological Sites
acousticschwannoma.com
craniopharyngiomas.com
ependymomas.com
gliomas.info
gliomas.uk
meningiomas.org
neurooncology.me
pinealomas.com
pituitaryadenomas.com 

Neuroanatomical Sites
humanneuroanatomy.com 
microneuroanatomy.com

Neuroanesthesia Sites
neuro-anesthessia.org

Neurobiological Sites
humanneurobiology.com

Neurohistopathological
neurorhistopathology.com

Neuro ICU Site
neuroicu.info

Neuroophthalmological
neuroophthalmology.org

Neurophysiological Sites
humanneurophysiology.com

Neuroradiological Sites
neuroradiology.today

NeuroSience Sites
neuro.science

Neurovascular Sites
vascularneurosurgery.com

Personal Sites
cns.clinic

Spine Surgery Sites
spine.surgery
spondylolisthesis.info
paraplegia.today

Stem Cell Therapy Site
neurostemcell.com


 

Inomed Stockert Neuro N50. A versatile
RF lesion generator and stimulator for
countless applications and many uses


 

Multigen RF lesion generator .

28-MARCH-2022  ZIAD ADEL YAMAK  40 YEARS  LEFT TRIGEMINAL NEURALGIA.

 

Anamnesis

bullet

The patient came to the clinic 20-July-2016 complaining of left trigeminal neuralgia for 1 year. MRI done 21-September-2015 and 24-January-2016 showing a possible loop of the SCA compressing the left trigeminal nerve. There was suspicion of meningioma with hyperostosis which was denied. The patient is neurologically free and all medications failed to improve his condition, instead causing sleepiness and drowsiness.

bullet

On examination, the patient is neurologically free. except for the left trigeminal neuralgia.

bullet

The patient came several times and the last time came 17-March-2022, urging for surgery. He is in Tegretol 200 CR three times a day. Higher doses causing drowsiness.

bullet

In lateral position, with the left mastoid at upper position and Mayfield clamps fixed to the head. Epidural kit with catheter 20F was inserted intradurally and 40 cc CSF regained and the catheter was kept in place. Using the navigation, the junction between the transverse sinus and the left sigmoid was identified. Vertical retromastoid incision was done. A small bur hole was created at the junction. Using the footed attachment of Midas Rex a small craniotomy was done. During that massive bleeding took place. The bone was removed and the source of bleeding was an abnormal emissary vein projecting from the transverse sinus. Until closing the dural defect of the sinus with 4 zero nylon, the patient lost 1.5 liter of blood. The anesthesia team was warned that something wrong with his venous return, because in the usual circumstances it is usually easy to manage this situation without such loss of blood. The dura was opened inferior to the left transverse sinus and extended down parallel to the sigmoid sinus. The cerebellum is tight and further elevation of the head was achieved and more CSF was drained. The cerebellum was stuck with tentorium and sharp separation was needed to achieve the goal with difficulty. The family were interrogated if the patient suffer previous head injury. The mother telling that when he was 8 months age, he suffered severe head injury with fracture of the base of the skull. Taking this fact in consideration, the patient was put in setting position with the left mastoid up. The navigation was reapplied another time. After that the cerebellar structures became lax and the work with the scars was more easy. There was no superior petrosal vein and dissection was followed until the tip of the left petrous bone. There is hypertrophic callus formation compressing the left trigeminal nerve. Drilling of the callus formation and widening the edges around the trigeminal nerve was achieved with the smallest size of Smith Kerrison. Inspection was carried out from the trochlear nerve down to the facial and vestibulo-cochliar nerves. There is no compressing arteries or veins. Using motor stimulation was negative. Check in the muscles with 10 Volts was negative. The anesthesia was told to to stop the muscle relaxants and were asked how much time it will take to wear the effect of muscle relaxants. They told me it will take 20 min. During that bipolar pulsed mode RF with 42 Celsius, 240 sec, 2 Hz and 20 msec duration to the left trigeminal nerve was achieved using 2 bended catheters 10 mm exposed length. After wearing of the muscle relaxant, the facial nerve responded well to 0.7 Volta and the trigeminal nerve to 1.5 Volts. Strict hemostasis and the dura was closed with lyodura. The bone was removed in place and the wound was closed. Before extubating him, check MRI was done showing an acceptable picture with some air in the upper field of operated area and small amount of blood at the bottom with edema of the lateral part of the the left cerebellum. The patient was extubated smoothly and the patient was sent to the ICU. The operation took 12 hours duration.


MultiGen

FOLLOW UP

bullet

The patient 29-March-2002 is suffering from paresis of the left facial nerve, but closing the left eye. Hearing is preserved and has numbness of the left side of the face. The gag reflex is preserved and protruding the tongue normal with normal gag reflex. There is nystagmus to both sides and complaining of double vision, but the left abducens is functioning properly. Refusing to swallow liquids, despite the fact, that he has normal swallowing.

bullet

The next day in the ICU 30-March-2022 with difficulty, he was put in setting position several times and he is afraid to swallow liquids. The cough reflex was exaggerated and it was explained to him, that the liquids he is swallowing are not related to the sputum and he was encouraged to have more fluids. He was encouraged to put him in setting position several times to decrease the vertigo.

bullet

In 31-March-2022 the patient was encouraged to have a walk near the bed several times and and the Foley's catheter was removed and he was encouraged to have more walks and to urinate in the bath room and to have more amount of fluid diet. Check for hypothyroidism was negative.

bullet

The patient was seen by ENT specialist 5-March-2022 and barium swallow was performed showing tiny residual slipping to the epiglottis, due to edema and making him afraid to feed him by mouth, for what naso-gastric tube was inserted 6-March-2022 and he was discharged the following day to be kept with the NGT for 2 weeks. Upon discharge the patient is pain free and walking with mild support with continued improvement of his left sided facial paresis.

bullet

The patient then came 28-April-2022 with PEG inserted 3 days ago for feeding and still complaining of swallowing difficulty, but can swallow soft food such as yoghurt. The left facial nerve regained considerable improvement, but the patient noticed loss of hearing left side the last week. The left trigeminal nerve still having hypoesthesia for tactile, thermal, and pin-brick sensation. Still having horizontal nystagmus, but the double vision disappeared. Still need support when walking due to ataxia. Still having numbness of left V3, but no more neuralgia.

bullet

The patient then came 26-June-2002 complaining of double vision, complete hearing loss left side, but he walk without aid with almost complete recover of the left facial nerve. Still complaining of swallowing difficulty, but he mention that the assort of the eating food is widening, but still using PEG.  MRI of the brain done 06-July-2022 showing massive malacia of the left cerebellar hemisphere. The brain stem and the posterior circulation are intact. The MRV showing absent left transverse sinus , which could be a variant. The left trigeminal nerve is not compressed and the canal is wide.

 

Comments  

bullet

The bony compression with such long time after trauma can trigger trigeminal neuralgia even after 39 years.

bullet

This is the 235th case using the BPRF mode with MultiGen. This procedure regained routine acceptance.  It became a usual part of the spine and peripheral nerves surgery. Click here for reference.

bullet

It still unclear to evaluate the differences of pre and post application motor responses. The only sure thing that it tells that the electrodes did not migrate during the procedure and the nerve is functioning properly. Here it was impossible to evaluate pre and post application due to muscle relaxant application.

bullet

With accumulation of data, it became clear that the irritated nerve with aberrant currents running in the C fibers up, not only causing no change or elevation of the required voltage to achieve motor response, but they could cause the preoperative weakness. Ablation of such currents results in facilitation of the motor response and improvement of function with disappearance of pain.

bullet

It is unclear why the roots have several motor response with different patients, despite the fact that the neurological status is the same and the anesthesia protocol also the same.

bullet

It could be that the nerve is recovering minute by minute after decompression and this can explain why the motor conductivity is improving after the BPRF application, which require 4 minute session in most cases.

bullet

After the 172d case, the elevation of motor stimulation above 5 V was abandoned to avoid delayed dural tear with subsequent CSF leak, which take place at the contact at the lower electrode shaft with the dura below the level of the axilla.

bullet

BPRF to my knowledge is the first case was included in the treatment of the trigeminal neuralgia after removing the bony compression. Instead of rhizotomy or thermal radiofrequency which will trigger the de la Rosa pain, BPRF will ameliorate the pain, which is the main aim of the surgery.

bullet

During the available records since the last 20 years, 48 surgeries were performed for trigeminal neuralgia, different scenarios were seen, some finished with MVD, coagulating the abnormal veins and this is the first case was post-traumatic with callus formation with bony compression of the trigeminal nerve.

bullet

Repositioning of the patient during surgery from the lateral to setting position must be performed with great attention to the endotracheal tube, to avoid mechanical injury to the larynx, as it took place in this case.

bullet

During surgery, the brain stem was slightly more solid than usual and the pia matter surrounding it was thick. Despite all efforts to apply minimal traction, it could be that all the area reacted more than usual.

bullet

In retrospective analysis, it seems that the entire left hemisphere was receiving blood supply through tiny scattered feeders from the inferior surface of the tentorium. That is the only explanation to such result of severe malacia and atrophy of the left cerebellar hemisphere, due to attempt to dissect the stuck hemisphere to the tentorium to reach the target of action.

bullet

The lesson from this case, that it will be very difficult to anticipate this situation. If anticipated then direct drilling to reach the area through the petrous bone from the left side, trying during that to avoid dissection of the cerebellar hemisphere off the tentorium. Since this case is very rare it was described in detail to give a message to the experts in this field, that this can have place.

 

Skyra MRI with all clinical applications in the run since 28-Novemeber-2013.


Inomed Riechert-Mundinger System, with three point fixation is the most accurate system in the market. The microdrive and its sensor gives feed back about the localization.


Inomed MER system

Leica HM500

Leica HM500
The World's first and the only Head mounted Microscope.
Freedom combined with Outstanding Vision, but very bad video recording and documentation.

TRUMPF TruSystem 7500

After long years TRUMPF TruSystem 7500 is running with in the neurosuite at Shmaisani hospital starting from 23-March-2014

LooksCam II in the run.
LooksCam II Xenosys in the run  starting from  14-March-2021 with SheerVision TTL x4 magnification.


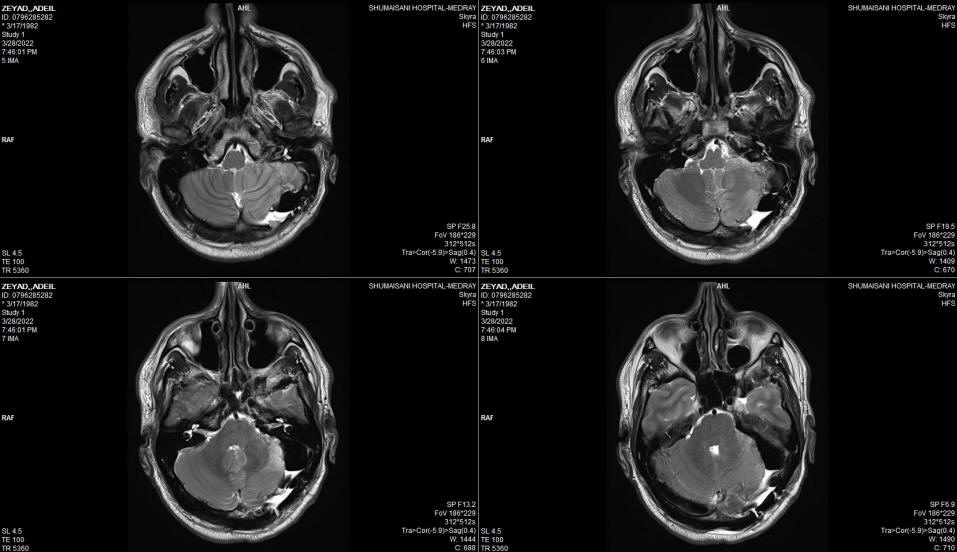
Fig:-1 Intraoperative MRI showing air in the manipulated region and clot beneath the empty cavity.


Fig:-2 The location of the glossopharyngeal nerve and nuclei are far from the operative activity.


Fig:-3 Severe malacia and atrophy of the left cerebellar hemisphere with preserved brainstem.


Fig:-4 MRA of the brain with excellent posterior circulation.


Fig:-5 MRV showing absence of left transverse sinus which could be a normal variant.

Notice: Not all operative activities can be recorded due to lack of time.
Notice: Head injuries and very urgent surgeries are also escaped from the plan .


 

 

 

WELCOME TO AL-SHMAISANI HOSPITAL

 


View Larger Map

© [2022] [CNS CLINIC - NEUROSURGERY - JORDAN]. All rights reserved