Functional Neurosurgery
functionalneuro.surgery
Functionalneurosurgery.net

IOM Sites
iomonitoring.org
operativemonitoring.com

Neurosurgical Sites
neurosurgery.art
neurosurgery.me
neurosurgery.mx
skullbase.surgery

Neurosurgical Encyclopedia
neurosurgicalencyclopedia.org

Neurooncological Sites
acousticschwannoma.com
craniopharyngiomas.com
ependymomas.com
gliomas.info
gliomas.uk
meningiomas.org
neurooncology.me
pinealomas.com
pituitaryadenomas.com 

Neuroanatomical Sites
humanneuroanatomy.com 
microneuroanatomy.com

Neuroanesthesia Sites
neuro-anesthessia.org

Neurobiological Sites
humanneurobiology.com

Neurohistopathological
neurorhistopathology.com

Neuro ICU Site
neuroicu.info

Neuroophthalmological
neuroophthalmology.org

Neurophysiological Sites
humanneurophysiology.com

Neuroradiological Sites
neuroradiology.today

NeuroSience Sites
neuro.science

Neurovascular Sites
vascularneurosurgery.com

Personal Sites
cns.clinic

Spine Surgery Sites
spine.surgery
spondylolisthesis.info
paraplegia.today

Stem Cell Therapy Site
neurostemcell.com


 

Inomed Stockert Neuro N50. A versatile
RF lesion generator and stimulator for
countless applications and many uses


 

Multigen RF lesion generator .

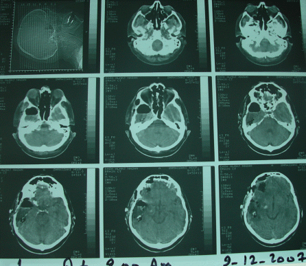
08-DECEMBER-2007 ISSA AL-HAJ HASAN 56 YEARS VERY AGGRESSIVE GLIOBLASTOMA MULTIFORME RIGHT CEREBRAL HEMISPHERE.

 

Anamnesis

bullet

The patient was operated by me 11-Noveber-2007. The patient as previously mentioned, was in ventilator waiting for the Gliadel wafer, which we received at the morning today directly from USA.
The patient was taken to the operating room and tracheostomy was performed.
The flail bone flap was reflected to the ear. It was noticeable, that the tumor growth was rapid and a lot of necrotic material was filling all the cavities. All the necrotic material was removed and further removal of the tumorous temporal lobe and the frontal lobe was performed and decompression was achieved maximally 10 mm anterior to the optic nerves.
After achieving good decompression and hemostasis, Gliadel Wafer (polifeprosan 20 with carmustine implant, Guilford Pharmaceuticals, Baltimore, MD 21224 NDC 61379-0100-1) 16 pieces were implanted in the two cavities.
Water-tight closure of the dura using lyodura. The previous implanted lyodura was stuck to the bone flap and it was used to further cover the area.
The bone flap was rigidly fixed to the bone defect and the wound closed.
The patient was weaned immediately after surgery and his clinical status is still the same: deep paresis of the left side and obeying verbal command with difficulty and moving the right side of the body.
The patient asked for small incision. It means, that during flavotomy it is necessary to use the loupes with magnification to see exactly what is going on and to perform the usual tasks.
The neurosurgeon must be a good MRI reader so as not to miss the separated piece. Foraminotomy was extended more than usual so as not to escape such far migrating piece.

Follow Up

bullet

The patient in next postoperative day 09-December-2007 doing well and control CT-scan done showing the resection limits and the Gliadel wafers in the cavities.


The vital signs are stable and the patient using the T-piece with Venturi 50 and SO2 99% with pH 7.41 and pCO2 31 and pO2 97 mm Hg and he is convulsion free.
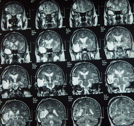
The patient showed steady improvement and the tracheostomy was removed 15-December-2007 and started normal feeding and MRI performed 23-December-2007 showed halt of the aggressive growth of the tumor.




The last picture showing the right MCA eaten by the tumor, despite anatomical preservation during surgery.
The patient is ready for discharge tomorrow 26-December-2007 and planned to send for radiotherapy.
 


Gliadel Wafers package


Gliadel wafer pieces

 

bullet

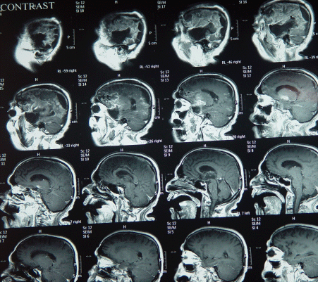
The patient underwent radiotherapy, and MRI done 17-Maech-2008 showed no signs of recurrence, still bedridden and can eat well and some times talking and responding to verbal stimuli.

bullet

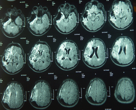
MRI repeated 18-August-2008  showing of the other left hemisphere and involvement of the brain stem in the right side. with deterioration of his condition.

bullet

MRI done 04-December-2008 showing enlargement of the right sylvian mass location and down to the vermis. He is completely bedridden and to my knowledge he died 3-4 months later.

 

Comments  

bullet

The family of the patient is insisting to provide to the patient the at most care and chances. Gliadel is an expensive drug and the 16 pieces cost is around 40.000 USD and needs urgent production and delivery in -250 C. Thanks for the cooperation H.E. Minister of Health in Jordan and Dr. Janet Merza Deputy Minster of Health, and Simona Ulisse, who made this feasible.

bullet

Gliadel was the only choice in this case to suggest, because the very aggressive behavior of the tumor could not provide a room for manipulating with the patient treatment and we were stuck with the ventilator and every day we evacuated 80-100 ml of tumorous fluid subgalialy, for what he was also in the ICU. After the second surgery the fluid stopped and we could discharge the patient from the ICU and send him later home,

bullet

As mentioned the Gliadel has less systemic toxic effects and such patient in the ICU with these parameters cannot tolerate BCNU I/V infusion.

bullet

We hope that could yield some benefit to the patient.
 


ISIS Inomed 32 channel in the run

 

Skyra MRI with all clinical applications in the run since 28-Novemeber-2013.


Inomed Riechert-Mundinger System, with three point fixation is the most accurate system in the market. The microdrive and its sensor gives feed back about the localization.


Inomed MER system

Leica HM500

Leica HM500
The World's first and the only Head mounted Microscope.
Freedom combined with Outstanding Vision, but very bad video recording and documentation.

TRUMPF TruSystem 7500

After long years TRUMPF TruSystem 7500 is running with in the neurosuite at Shmaisani hospital starting from 23-March-2014

LooksCam II in the run.
LooksCam II in the run  starting from  14-March-2020


Notice: Not all operative activities can be recorded due to lack of time.
Notice: Head injuries and very urgent surgeries are also escaped from the plan .

WELCOME TO AL-SHMAISANI HOSPITAL

 


View Larger Map

© [2007] [CNS CLINIC - NEUROSURGERY - JORDAN]. All rights reserved